医療法人侑和会まつむら歯科

歯医者は大阪府、福島区でお口の健康に関する豆知識を発信 | ブログ

お問い合わせはこちら ご予約はこちら

ブログ

日々のケアに役立つ歯の豆知識を発信

BLOG

虫歯や歯周病を防ぐための日々のセルフケア方法、詰め物や被せ物の種類、子どもの歯のケアなどの幅広いテーマで、お口の健康に関する豆知識を発信しています。専門的な内容もわかりやすい言葉で解説し、気軽にご覧いただけるよう心がけていますので、ご自身のデンタルケアを見直すきっかけとしてぜひお役立てください。来院前の参考になる院内の雰囲気などもお伝えしていきます。

皆さんこんにちはまつむら歯科原ですもう年末ですね~皆さんはどんな一年でしたか?私はいろいろと経験をさせていただいた1年だったなと思っています。宮古島へ大所帯で行って、パラセーリングやカヌー…

みなさんこんにちは!まつむら歯科原です街はクリスマスモードですが、皆さんはクリスマスといえば何を連想されますか?私はやっぱりピカピカのクリスマスツリーあとはクリスマスに食べるケーキやチキン…

皆さんお久しぶりです!まつむら歯科原です気候が安定しない毎日ですが、お元気ですか かくいう私は自律神経やられてます!が気持ちは元気です温かいものを飲んだり、食べて、ゆっくり寝て治そうと思いま…

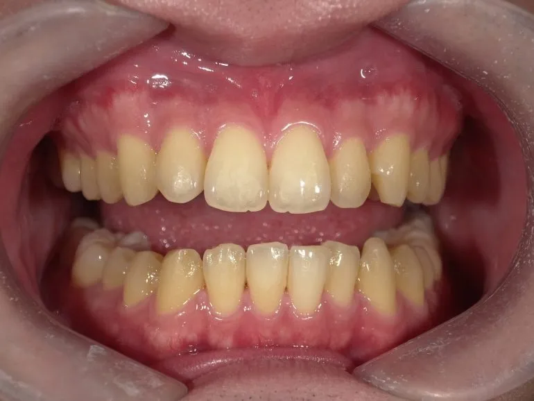
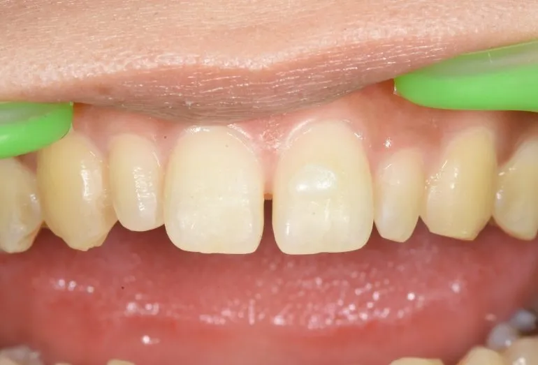
みなさまこんにちはまつむら歯科原ですまだまだ暑い日が続いてますね。。。最近寒暖差によって体調崩されている方が多い気がします。冷房冷えや熱中症に気をつけましょうね今回の本題は私、矯正、終わり…

みなさんこんにちは!原です暑くなってきましたね!私の家の近所ではセミが鳴き出していて、夏をすごい感じています犬を飼っているのですが、散歩がなかなか暑くてタイミングがなく。。。頑張って早起き…

みなさんこんにちは!まつむら歯科原です梅雨になり、ジメジメーっとした空気が気持ちを重くさせますが、、、最近ではマスクをつけずに外出している方も増えたように思います!最近は早くユニバに行きた…

みなさんこんにちはまつむら歯科原です今日は実は怖い病気、歯周病について今日はお話しします!皆さん、歯周病ときいて何を思い浮かべますか??「歯ぐきの病気!」「実際CMではよく聞くけどわからない…

皆様こんにちはまつむら歯科原です気がつけばもう6月ですね!今年も半分に近づいてきました上半期は昔の友人から連絡が来ることが多く、そこからつながる縁もたくさんありました。あと半年、皆さんはどん…

皆様こんにちはまつむら歯科原です最近季節の変り目のせいなのかすごくお腹がすいてたまりません宮古島行く予定があったのでせっかくダイエットしたのに…夏バテって経験したことがないくらい食欲旺盛な私…

皆様こんにちはまつむら歯科原です最近炭酸飲料が美味しい季節になって来ましたね~皆さんは何がお好きですか?私はコーラが大好きですでもそんな炭酸は虫歯リスクの原因になってしまうんですご存じでし…

当店でご利用いただける電子決済のご案内

下記よりお選びいただけます。