医療法人侑和会まつむら歯科

歯医者は大阪府、福島区でホワイトニングを提案 | ホワイトニング・ガムピーリング

お問い合わせはこちら ご予約はこちら

ホワイトニング・ガムピーリング

歯と歯茎を健やかな色合いに導く施術

WHITENING

歯の黄ばみが気になる方のために、専用の薬剤で歯を白くするホワイトニングを提案しています。歯科医院で行うオフィスホワイトニングと、ご自宅で行うホームホワイトニングがあり、ご希望の白さやライフスタイルに合わせて選択が可能です。喫煙や加齢で黒ずんだ歯茎を健康的なピンク色に近づけるガムピーリングにも対応しており、歯だけでなく歯茎の色も整えるお手伝いをします。

※限定ホワイトニングキャンペーン

2025年7月15日より期間限定でホワイトニングキャンペーンを行っており、通常価格よりもお得にホワイトニングをお受けいただけます。夏の特別な日やイベントに向けて、自信の持てる美しい笑顔を手に入れましょう。キャンペーン期間は限定となっておりますので、ご興味をお持ちの方はお早めにお申し込みください。

既存患者様
ホワイトニングメニューすべて:¥5,000OFF!!
新規患者様
ホームホワイトニングSET(マウスピース上下、ジェル2本):¥9,900(税込)

このような方におすすめです

- 歯の黄ばみが気になる方
- 歯を削る治療に抵抗がある方
- 大切な記念日を白い歯で迎えたい方
- 定期的にホワイトニングを受けたい方
- 自分に合ったホワイトニングを探している方

ホワイトニングとは

ホワイトニングとは、専用の薬剤を使用して食事、飲み物、喫煙などで着色した天然歯を白くする治療です。セラミックで歯を白くする治療とは異なり、歯を削ることなく審美的効果が得られます。福島区のまつむら歯科では、歯科医院で行うオフィスホワイトニング、ご自宅で行うホームホワイトニング、その両方を組み合わせたデュアルホワイトニングに対応しております。

ホワイトニング動画

動画は拡大してご覧ください。


ホームホワイトニングのメリット・デメリット

オフィスホワイトニングのメリット・デメリット

メリット

- 短期間で歯を白くできる
- 歯科医・歯科衛生士に施術をすべて任せられる

デメリット

- ホームホワイトニングと比べて白さの後戻りが早い

ホームホワイトニングのメリット・デメリット

メリット

- 自分のペースで歯を白くできる
- オフィスホワイトニングより白さが長持ちする

デメリット

  - 効果を実感するまで時間がかかる

デュアルホワイトニングのメリット・デメリット

メリット

- 歯を白くすることができる
- ホームホワイトニング単独よりも、白さが長持ちする

デメリット

  - 知覚過敏が起こりやすい


ホワイトニング3種類の使い分け

オフィスホワイトニング

オフィスホワイトニング

歯科医院または歯科衛生士が、歯茎を保護した上で、高濃度の薬剤を歯に塗布し、漂白します。
多くの方が、一度で効果を実感されており、「短期間で歯を白くしたい」「大切な記念日が迫っている」という方におすすめです。

※ご希望の白さによっては、2回、3回と繰り返す必要があります。

ホームホワイトニング

ホームホワイトニング

ご自宅で行うことができるホワイトニングです。
歯科医院で作製したマウスピース型のトレーに低濃度の薬剤を入れ、30分〜2時間装着します。
これを毎日、1〜2週間継続することで、歯を少しずつ白くしていきます。
「白さを長持ちさせたい」「白くなりすぎることを防ぎたい」という方におすすめです。

デュアルホワイトニング

オフィスホワイトニングを行ったのち、ホームホワイトニングを行うコースです。
効果の大きさ、白さの持続性ともに、もっとも優れており、ワンランク上のホワイトニングをご希望の方におすすめです。


ホワイトニングは痛い?

痛みが出た時の対処法

ホワイトニング後、薬剤の刺激によって痛みが生じることがあります。通常、短ければ数時間で、長くても数日で治まります。福島区のまつむら歯科では、痛みを抑える特殊な歯磨き粉などを使用し、最小限の痛みに抑えることができます。


ガムピーリングとは

ガムピーリングとは、加齢、喫煙、あるいは先天的な理由によってメラニンが沈着し黒ずんだ歯茎を、薬液を使って健康的な薄いピンク色に近づける治療のことを指します。
このような歯茎の黒ずみが自然に治ることはありませんので、気になるときには一度福島区のまつむら歯科にご相談ください。

※動画は拡大してご覧ください

このような方におすすめです

- 年齢とともに歯茎の黒ずみが気になる方
- 喫煙により歯茎が黒ずんでいる方
- 元々歯茎の色が気になる方
- 歯を美しくしたので、歯茎も健康的な印象にしたい方
- 笑顔時に歯茎の色が気になる方


ガムピーリングの施術の流れ

カウンセリング・検査

01

お悩みをお伺いした上で、お口の中を検査します。服用薬によって歯茎が黒ずんでいる場合には、その治療が必要になります。

表面麻酔

02

安全な施術のため、口唇部を保護し、術部に表面麻酔を塗布いたします。

フェノール液の塗布

03

歯茎にフェノール液を塗布します。

水洗乾燥

04

その後、十分に洗い流し、乾燥させます。

ガムピーリングを受けるときの注意事項

- 施術直後から歯茎が白っぽくなりますが、1週間ほどで自然な色に戻ります。
- ガムピーリング後は、しばらく辛い食べ物を控えてください。
- 痛みやヒリヒリ感が出る場合があります。
- 歯茎の美しさを保つため、ガムピーリング後は禁煙をおすすめします。

ホワイトニング・ガムピーリングの症例

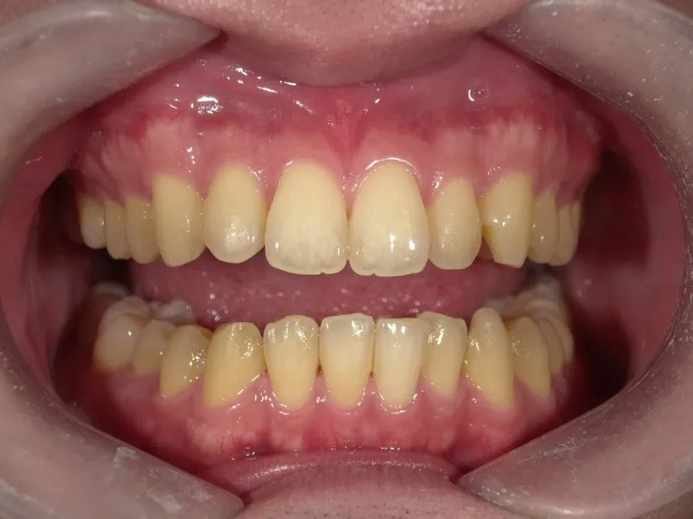
【症例1】

治療名
ホワイトニング(1か月コース)
治療説明
23歳男性にホワイトニング(1か月コース)の施術を行いました。
治療回数・期間
1ヶ月半
副作用・リスク
ホワイトニング後は、徐々に元の歯の色に戻る場合があります。
料金
¥74,800(税込)

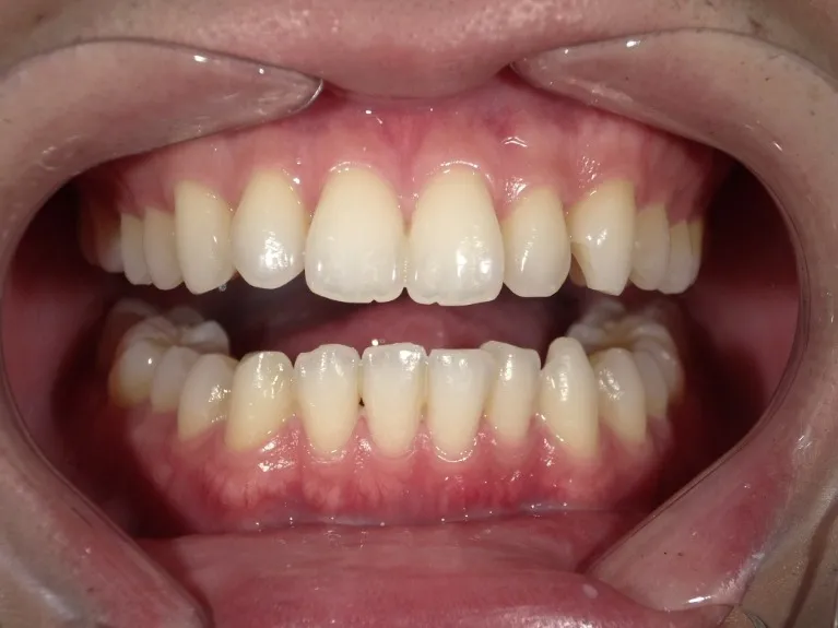
【症例2】

治療名
ホワイトニング(2か月コース)
治療説明
オフィスホワイトニング4回とホームホワイトニングのセットです。
治療回数・期間
オフィスホワイトニング4回/2ヶ月
副作用・リスク
ホワイトニング後は、徐々に色が戻ることがあります。
料金
¥128,700(税込)

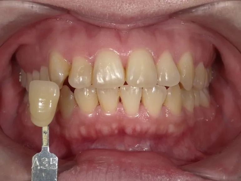
【症例3】

治療名
ホワイトニング(2か月コース)
治療説明
オフィスホワイトニング4回とホームホワイトニングのセットです。
治療回数・期間
オフィスホワイトニング4回/2ヶ月
副作用・リスク
ホワイトニング後は、徐々に元の歯の色に戻る場合があります。
料金
¥128,700(税込)

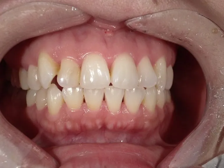
【症例4】

治療名
ホームホワイトニング3ヶ月+1ヶ月コース
治療説明
28歳の女性に、ホームホワイトニング3ヶ月+1ヶ月コースの施術を行いました。
治療回数・期間
4ヶ月
副作用・リスク
ホワイトニング後は、徐々に元の歯の色に戻る場合があります。
料金
ホームホワイトニング3ヶ月:¥29,700(税込)
1ヶ月コース:¥74,800(税込)

【症例5】

治療名
ガムピーリング
治療説明
女性にガムピーリングの施術を行いました。
治療回数・期間
1回
副作用・リスク
施術後、やけどをしたようなヒリヒリ感を感じる場合があります。
料金
¥11,000(税込)

ホワイトニング・ガムピーリングの費用

福島区のまつむら歯科ではボーテ式ホワイトニングを採用しており、回数券がお得です。

オフィスホワイトニング 60分(8分照射×2)
¥22,000(税込)

⇒4回券¥83,600(税込)

⇒6回券¥122,100(税込)

⇒8回券¥122,100(税込)
ホームホワイトニング(以下内容)
・ホームホワイトニング上下(付属品付)
・ホームジェル10日分
・アパガードリナメル
・付属品
・NBトゥースペースト
¥29,700(税込)
ガムピーリング(両顎) 
¥11,000(税込)

ホワイトニングコース

徹底的に歯を白くしたい方におすすめです。

1ヶ月コース(有効期限:半年間)

・ボーテ式ホワイトニング2回分
・ホームホワイトニング上下(付属品付)
・ホームジェル5日分×6本
・アパガードリナメル
・NBトゥースペースト
¥74,800(税込)

2ヶ月コース(有効期限6ヶ月)

・ボーテ式ホワイトニング4回分
・ホームホワイトニング上下(付属品付)
・ホームジェル5日分×12本
・アパガードリナメル
・NBトゥースペースト
¥150,700(税込) ⇒¥128,700(税込)

3ヶ月コース(有効期限6ヶ月)

・ボーテ式ホワイトニング6回分
・ホームホワイトニング上下(付属品付)
・ホームジェル5日分×18本
・アパガードリナメル
・NBトゥースペースト
¥214,500(税込) ⇒¥182,600(税込)

年間コース(有効期限2年間)

・ボーテ式ホワイトニング8回分
・ホームホワイトニング上下(付属品付)
・ホームジェル5日分×18本
・アパガードリナメル
・NBトゥースペースト
¥280,500(税込) ⇒¥238,700(税込)

ホワイトニングに関するQ&A

どのくらいのペースでホワイトニングをした方が良いですか?

ホームホワイトニングは30分~2時間を3日連続で最低行います。オフィスホワイトニングは、2~3週間に一回は行った方が良いです。

ホワイトニング後、色がまだらになっている場合、もう一度ホワイトニングをした方が良いですか?

色がまだらになることは一時的によくあることですが、元々の色が浮き出てきているので、数週間で周りの色が白くなれば目立たなくって来ます。色の差が気になる方は被せたり詰めた方が良い場合もあります。

ホワイトニング後、そのまま歯磨きを忘れて眠ってしまいました。 夜、歯磨きをしないと歯はすぐに黄色くなりますか?

すぐに黄色くなることはありませんが、折角綺麗にした歯が虫歯になるともったいないので、細菌が繁殖しやすい夜は歯磨きしたほうがいいと思います。

私は肌がどちらかというと黄色みが強い方なのですが、 自分の肌の色にあったホワイトニングをしてもらえるのですか?

患者様がどれぐらいの歯の色を希望するかを最初にコンサルティングして、肌の色にあったホワイトニングのゴールを一緒に設定しますので、ご安心ください。

当店でご利用いただける電子決済のご案内

下記よりお選びいただけます。