医療法人侑和会まつむら歯科

歯医者は大阪府、福島区でインプラント治療を提案 | インプラント

お問い合わせはこちら ご予約はこちら

インプラント

天然歯のような審美性と機能性を目指す

IMPLANT

歯を失った際の選択肢として、インプラント治療を提案いたします。天然の歯と同じように顎の骨を土台とするため、ご自身の歯のような噛み心地と、審美性にも優れています。歯科用CTによる検査に基づき、抜歯と同時にインプラントを埋入する方法も条件が合えば可能です。手術が不安な方には静脈内鎮静法も用意しており、十分なカウンセリングを行った後に治療へと進みます。

インプラントとは

インプラントとは、虫歯、歯周病、あるいは事故などで歯を失ったときに行われる治療です。
そのほか、歯を失ったときの治療としては、入れ歯、ブリッジなどがあります。やや珍しいものでいえば、歯牙移植(親知らずなどの不用歯の移植)があります。
インプラントはその中でも、審美性・機能性を高いレベルで実現する治療法です。


まつむら歯科で行うインプラント治療の特徴

抜歯即時でインプラントを入れられる!前歯の治療も即日OK

もう回復が見込めない天然歯がある場合、その歯を抜くと同時にインプラントを埋入する「抜歯即時埋入インプラント」という方法が可能になります。
顎の骨の量が十分であること等、いくつか条件がありますが、当院では院内に歯科用CTを設置していますので、速やかに検査・診断ができます。

通常1年かかる治療が最短3ヶ月で終わる

抜歯即時インプラントを行う等して、一般的に1年を要するケースであっても、当院では3~5ヵ月程度で治療を終えられることが多いです。
もちろん、リスクを冒して無理に治療期間を短縮するということはありませんので、きちんと検査をして診断と治療計画を立てた上で患者様にご説明します。

10年保証で安心

患者様に対するインプラント治療の長期品質保証をご用意しており、所定の再治療事由により、保証期間内に保証部位※1が脱落または破折した場合、無償で再治療を行います。
もし当院に通えなくなっても、同じGuideDent社の認定歯科医療機関で同じ保証を受けることができます。
※1 保証部位とは、保証対象となる埋入されたインプラント体(チタン素材の人工歯根)およびその上部構造(人工の歯)のことで、保証書の埋入部位に記載されたものをいいます。

静脈内鎮静に対応

当院では「静脈内鎮静法(じょうみゃくないちんせいほう)」に対応しています。手術が必要な治療に対して、恐怖心が強くなってしまうという方に対する麻酔方法のひとつで、治療を始める前にリラックスできるお薬を点滴で入れる方法です。歯科麻酔専門医が鎮静を行います。

ソケットリフト・サイナスリフト(骨再生)に対応、骨が少なくても即時で治療が可能

顎の骨の量が不足している場合にも、「ソケットリフト」「サイナスリフト」といった術式によって、顎の骨の回復を図ることができます。
他のクリニックで骨の問題でインプラントができないと言われた方も、一度ご相談ください。

インプラント治療後のトラブルでお困りの方へーリカバリー(再治療)に対応

他のクリニックでインプラント治療を受けたものの、「痛み・腫れが続く」「噛み合わせが合っていない」といったトラブルを抱えている方は少なくないようです。
当院では、そういった症例のリカバリー(再治療)にも対応しております。これまで数多くのリカバリーを経験してきた院長が担当しますので、安心してご相談ください。

インプラント歯周炎の治療も可能

インプラントの最大の敵とも言えるのが、インプラント周辺で炎症を起こす「インプラント歯周炎」です。歯周病と似たような現象であり、症状がほとんどないまま進行します。万が一インプラント歯周炎になってしまった場合にも、速やかに治療を開始し、少しでもインプラントを長く使用できるよう、お口の健康を維持できるよう努めます。
他のクリニックでインプラントの埋入後にインプラント歯周炎になってしまった方、インプラント歯周炎かもしれないと不安な方も、ぜひご相談ください。


インプラントのメリット・デメリット

メリット

自分の歯のようにしっかり噛める

インプラントは、顎の骨に埋め込み、そこにセラミックの被せ物を取り付ける治療です。天然歯と同じように顎の骨を土台として安定を得るため、強く噛むことができます。

口元の審美性に優れる

透明感・色調に長けたセラミックの歯が、自然で美しい口元を再現します。歯茎との境目も、きれいに仕上がります。保険の部分入れ歯のように、金属が見えるということもありません。

残った歯に悪影響を与えない

部分入れ歯、ブリッジとは異なり、インプラントは顎の骨に支えられています。そのため、残った歯に余計な負担をかけることなく、それらの歯の健康にも影響しません。お口全体の健康が保たれる治療法です。

顎の骨の吸収を防げる

顎の骨は、天然歯やインプラントがないと吸収されて「抜けて」しまいます。顎の骨の吸収は、顎・顔のハリが失われるなど、顔貌への悪影響が懸念されます。

こころの健康にもつながる

きれいな口元が取り戻せること、好きなものを食べられること等から、こころの健康への好影響が期待できます。

自分の歯のように磨ける・磨きやすい

入れ歯のように取り外して洗浄する必要がなく、天然歯と同じように磨くことができます。また、ブリッジのような、人工歯と歯茎のあいだに隙間が生じないため、磨きやすくなっています。

長く使用できる

適切に管理をすれば、10年以上快適に使用できると言われています。20年以上同じインプラントを使用されている方もおられます。

デメリット

費用が高額

自費診療となり、費用は高額になります。単純に金額を比べると入れ歯・ブリッジの治療はかなり安価なものですが、使用できる年数などを考慮して、歯科医と相談することが大切です。

手術が必要

インプラントは、その埋入のための手術が必要になります。もちろん局所麻酔をかけた上での手術ですが、「どうしてもこわい」「抵抗がある」という場合には、おすすめできません。

治療期間が長い

インプラントは一般的には、下顎で約6ヵ月、上顎で約12ヵ月の治療期間が必要です。当院ではインプラントは、平均して3ヵ月で治療が終了します。
※顎の骨とインプラントの結合を待つ期間が長いため、通院回数は4〜6回程度です。


治療前に知っておきたいインプラントのリスク

骨量不足のリスク

歯周病等が原因で顎の骨量が不足している場合、そのまま埋入したインプラントは、長期の使用が難しくなります。場合によっては、短期間で脱落してしまうことがあります。
治療前には、歯科用CTで顎の骨を正確に把握しておくことが大切です。当院では、顎の骨量が不足している場合に、その回復を促すソケットリフト・サイナスリフトを行うことができます。

骨粗鬆症がある場合のリスク

骨粗鬆症の方は、服用する薬によっては外科手術が原因で顎骨壊死を起こす可能性があります。そのため、インプラント治療は可能な場合もありますが、特に重度の骨粗鬆症の方は適さないこともあります。

インプラント周囲炎リスクと治療後のケア

インプラント周囲炎は、インプラントが脱落する大きな原因となる炎症です。歯科医師の指示通りにメンテナンスに通い、そこで教わったことをきちんと実践し、予防することが大切です。

金属アレルギーのリスクについて

インプラントに使用されるチタンは、金属アレルギーを起こしにくい金属です。しかし、アレルギー反応が全くないとは言い切れないため、ご心配な方には治療前にチタンアレルギー検査をいたします。

糖尿病がある場合のリスク

糖尿病の方は、手術で生じる傷口が治りにくいため、インプラントをおすすめできない場合があります。インプラント治療をご希望の場合には、かかりつけ医の先生と連携し、並行して血糖コントロールを行っていきます。


当院で行う治療方針

インプラントで後悔しないために

インプラント治療において、当院では以下3つの治療方針を掲げています。

十分なカウンセリングの実施

インプラントの一般的なメリット・デメリットはもちろん、患者様の口腔・身体の状態を考えた、お一人おひとりのメリット・デメリットをご説明します。
患者様のご質問には、すべて丁寧にお答えし、十分にご納得いただいてから治療へと進みます。同意書を作成して説明を行っています。
今ある歯を長持ちさせるために、無理に歯を抜いたりせずに最善の方法をお伝えします。

適切な検査の実施

歯科用CTで顎の骨の形態やおおよその硬さ、上顎洞の炎症の程度、血管や神経の位置を把握するなど、安全性の高いインプラント治療のために必要な検査を実施します。

治療前から治療後まで患者様の安心を確保する

手術を伴うインプラント治療は、多くの方にとって、期待がある一方で不安も生じる治療です。 治療前から治療後のメンテナンス期間まで、丁寧な説明と対応に努め、患者様の安心を確保します。


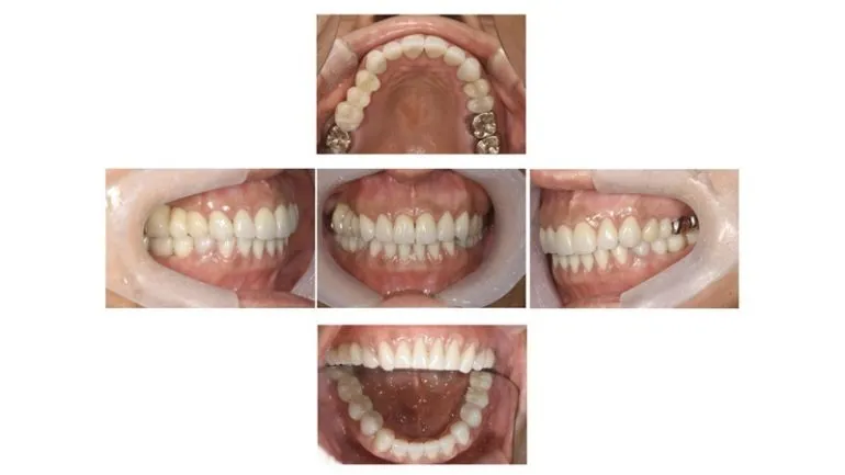
インプラント症例

【症例1】

治療名
インプラント治療
治療説明
インプラント治療とその他の補綴物による修復を行いました。
治療期間
1年
副作用・リスク
手術中に神経や血管を傷付ける可能性があります。痛み、腫れ、出血があります。インプラントの初期固定が取れない場合は、治療期間が長引いたり、すぐに仮歯を装着できない場合があります。
料金
¥3,135,000(税込)
インプラントのみ

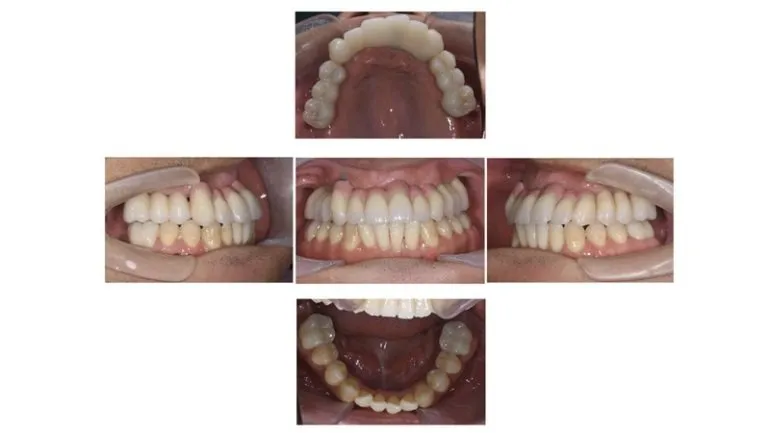
【症例2】

治療名
インプラント治療
治療説明
インプラント治療とその他の補綴物による修復を行いました。
治療期間
2年3ヶ月
副作用・リスク
手術中に神経や血管を傷付ける可能性があります。痛み、腫れ、出血があります。インプラントの初期固定が取れない場合は、治療期間が長引いたり、すぐに仮歯を入れることができない場合があります。
料金
¥3,905,000(税込)
インプラントのみ

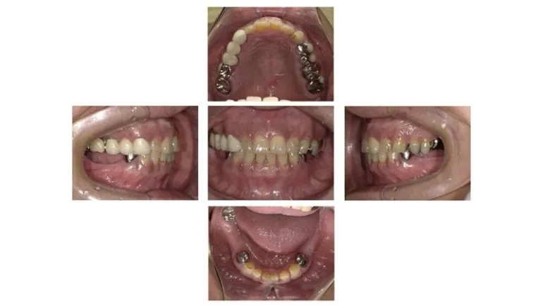
【症例3】

治療名
インプラント治療
治療説明
インプラント治療を行いました
治療期間
4ヶ月
副作用・リスク
手術中に神経や血管を傷付ける可能性があります。痛み、腫れ、出血があります。また、インプラントの初期固定が取れない場合、治療期間が長期化したり、仮歯をすぐに装着できない可能性もございます。
料金
¥495,000(税込)

【症例4】

治療名
インプラント治療
治療説明
一番奥の歯が折れて抜歯が必要になったため、抜歯と同時に骨造成とインプラント埋入手術を行いました。その日に仮歯を装着し、3ヶ月後に最終的な型取りを行いました。痛みや腫れはほとんどなく、治療中も比較的自由に食事をしていただけました。
治療期間
4ヶ月
副作用・リスク
手術中に神経や血管を傷付ける可能性があります。痛み、腫れ、出血があります。インプラントの初期固定が取れない場合、治療期間が長引いたり、すぐに仮歯を装着できない場合があります。
料金
¥787,600(税込)

【症例5:抜歯即時インプラント】

治療名
インプラント治療
治療説明
抜歯即時インプラント治療
治療期間
約3ヶ月
副作用・リスク
手術中に神経や血管を傷付ける可能性があります。痛み、腫れ、出血があります。
ンプラントの初期固定が取れない場合、治療期間が長引いたり、仮歯の装着が遅れる可能性があります。
料金
¥440,000~(税込)

【症例6】

レントゲン写真

レントゲン写真

治療名
インプラント治療
治療説明
インプラント治療
治療期間
約3ヶ月
副作用・リスク
手術中に神経や血管を傷付ける可能性があります。痛み、腫れ、出血がありますまた、インプラントの初期固定が取れない場合、治療期間が長引いたり、すぐに仮歯を装着できない場合があります。
料金
¥495,000(税込)

インプラント治療の費用

埋入、上部接続、被せ物で¥418,000(税込)から治療を受けられます。

埋入
¥165,000(税込)
上部接続(アバットメント+仮歯)
¥110,000(税込)
被せ物
¥165,000(税込)
静脈内鎮静
¥88,000(税込)
サイナスリフト
¥110,000(税込)
GBR法
¥55,000~¥110,000(税込)
インプラント体の保証
10年間

インプラントに関するQ&A

インプラント手術が失敗した時ってどのようなリスクがありますか?

インプラント周囲炎と言ってインプラントが炎症を起こしてしまったり、力が掛かりすぎて折れてしまうことがあります。

インプラント手術の後はタバコやお酒は控えた方が良いですか?

どちらもインプラント周囲炎を悪化させる要因になるので控えた方が良いです。

インプラント手術後、歯茎から膿が出ています。これってそのままで大丈夫なのでしょうか?

膿が出ている場合は、インプラントを再手術するのが一番近道ではありますが、難しい場合は洗浄して様子みることもあります。

インプラント治療について、教えてください。歯医者さんによって意見が異なるので、悩み中ですがどうしたらいいですか?

インプラント治療は、骨の中にチタンを埋め込む治療ですが、その骨の量が少ない場合などは、一般的に難症例となることが多いです。先生によって、知識も技術も違うので意見が異なります。ちゃんとインプラントを行えば、10年で97%はずっと噛めるという素晴らしい治療になります。入れ歯と違って硬いものも噛むことができます。今のお口の中の状態によっても、どういう治療がいいのかが異なってきますので、よかったらまたご相談ください。

当店でご利用いただける電子決済のご案内

下記よりお選びいただけます。