皆さんお久しぶりです!
まつむら歯科 原です🐱
気候が安定しない毎日ですが、お元気ですか😊
かくいう私は自律神経やられてます!が気持ちは元気です😉
温かいものを飲んだり、食べて、ゆっくり寝て治そうと思います!
腸活を意識してココアやオートミール、キノコなどを積極的に食事に取り入れたり、やっと健康に気を付けだしました🍄🍂
みなさんは健康の為に意識していることはありますか?
もしあれば是非教えてくださいね💛
さて今日はホワイトニングの経過についてです。
更新がだいぶ遅くなってしまいました💦
理由は私の歯がなかなか色が上がってくれませんでした😭
その人によってもっている歯の色やエナメル質の厚さが異なるので、ホワイトニングにも限度はもちろんあるのですが。。。
私の場合はコーヒーをよく飲むことや、しみるので長時間のWHができないということも大きな要因かもしれませんが、
いや、言い訳はこの辺にして、まずは私が頑張った成果をどうぞ🤓
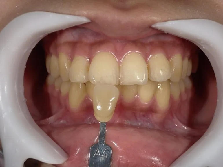
これが元の色です👇

この時点でもA1~A2ですので、まあ、明るいほうではありますが。。。
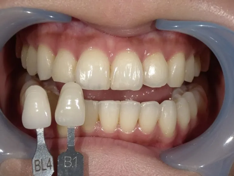
では約4か月間の努力を次にみていただきましょう🦷✨👇

どうでしょうか❓
黄色さは少し抜けています!!!
実際に色見本に合わせても白くなっていることはわかっていただけると思います!
ただ、上の写真の色見本BL4の色に私はなりたいんです!!!!!
なのでこの先も年末に向けてもう少しがんばってみようかと思います。。。
オフィスホワイトニングも検討中です🤔
(ちなみにホワイトニング未経験のときの私の歯も載せておきます😱)
(矯正もホワイトニングもこの後行いました)

ゴールまであと一歩(で済むのかわかりませんが。。。)
もう少ししみるのを我慢して続けてみようと思いますのでどうか皆さん見守ってやってください😖
当院のホワイトニングは
・しみにくい
・しっかり白さを実感できる
・食事制限がない
・アフターフォローしっかり
です!
年末年始のイベントが多い時期までにホワイトニングしたい方は是非ご予約くださいね🦷💛
素敵な笑顔を作るお手伝いを私たちにさせてください😁


