医療法人侑和会まつむら歯科

歯医者は大阪府、福島区の歯茎からアプローチする審美歯科 | 歯周形成外科

お問い合わせはこちら ご予約はこちら

歯周形成外科

美しい歯並びを目指す歯周形成の治療

PERIODONTAL PLASTIC SURGERYBOTOX

美しく整った印象の歯並びを手に入れるためには、歯茎の形を整えるアプローチが欠かせません。歯周形成外科として、根面被覆の治療や歯槽提増大術などを通じて、歯茎の下がりが気になっている患者様の口内環境の改善をお手伝いいたします。初めての方でも安心して治療を受けていただけるよう丁寧な説明を心がけてまいりますので、理想とする美しい口元を目指してみませんか。

歯周形成外科とは

歯を美しく見せるには歯の形が正中から左右対称なだけではなく、歯茎の形も対称性があり、美しい形にする必要があります。歯茎の退縮による見た目の問題にお悩みの方は、ぜひ一度まつむら歯科にご相談ください。

このような症状でお悩みはございませんか?

- 歯が長くなったように見える
- 歯の根が見える
- 歯茎が下がってきた
- 歯間に食べ物が詰まりやすい
- 矯正治療によって歯茎が下がってしまった

歯周形成外科でできること

・審美的に見た目を綺麗にする
・下がった歯茎に自分の組織を移植し、見た目を整える(歯肉移植)

歯茎が下がる原因

①歯周病

歯周病が進行すると顎の骨が吸収され、その骨を覆う歯茎も一緒に下がってしまいます。

②抜歯後

虫歯や歯周病などによって歯を失うと、その歯を支えていた顎の骨の吸収が進み、歯茎も下がってしまいます。早めにインプラントを埋入することで、骨の吸収を防ぐことが可能です。

③矯正治療

矯正治療を行ったからといって歯茎が下がるわけではありませんが、特に叢生(ガタガタの歯列)を治療した場合等、きれいなアーチを描くように歯列を並べることで、歯の根元側に隙間ができ、歯茎が下がったように見えることがあります。

④歯ぎしり・食いしばり

歯ぎしりや食いしばりによって顎の骨に強い力が加わり、骨吸収が進むケースです。骨を覆う歯茎も、その影響を受けて下がってしまいます。マウスピース(ナイトガード、スポーツ用マウスピース)によって、顎の骨にかかる力を軽減することが可能です。

⑤力の強すぎるブラッシング

力の強すぎるブラッシングは歯だけでなく歯茎もすり減らしてしまい、特に研磨剤入りの歯磨き粉はその影響が大きいと言われています。

⑥八重歯等の位置異常

八重歯等、本来の位置から遠く離れた位置に歯が生えることで、歯茎が薄くなり、また退縮しやすくなります。


歯周形成外科で行う治療

歯槽提増大術

上顎から上皮のない結合組織を採取し、歯茎の下がったところへ移植します。

根面被覆

歯茎が下がったところの上部に切開を加え、そこに別の部位から採取した組織を移植します。


「根面被覆(こんめんひふく)」とは

根面被覆とは歯茎が下がったことで露出した歯の根を、ご自身の歯茎を引っ張ることで再び覆う治療です。歯茎が下がったところの上部に切開を加え、別部位から採取した組織をそこに移植します。その後、歯を支点にして移植した組織を引っ張ることで、露出した歯の根が覆われます。

治療は痛い?

通常、ほとんど痛むことはありません。痛み止めの服用で、しっかりコントロールできます。組織を採取した部分にはやや痛みが出ますが、当院では拡大した視野で精密な処置を行い、また極細の縫合糸を使用するなどして、痛みの低減に努めております。


歯茎が下がってしまったときのご家庭での対処法

1.歯ブラシの選び方・使い方を改善する

メーカーによって多少の違いはありますが、歯ブラシの硬さは、「ふつう」もしくは「やわらかめ」がおすすめです。また、優しいブラッシングを心掛けてください。強く磨く癖のある方は、歯ブラシを鉛筆のように持って磨く(ペングリップ)ようにしてください。

2.デンタルフロス・歯間ブラシの併用

歯茎が下がる原因の1つに歯周病があります。歯周病の予防・進行を抑制するためにも、セルフケアの際には、歯ブラシに加えて「デンタルフロス」または「歯間ブラシ」を使いましょう。歯間の狭い方にはデンタルフロス、歯間の広い方には歯間ブラシがおすすめです。

3.マウスピースを使用する

歯ぎしりの癖がある方は、ナイトガードを歯科医院で作ってもらい、就寝時に使用することをおすすめします。スポーツ中の食いしばりが気になる方は、スポーツ用マウスピースがおすすめです。


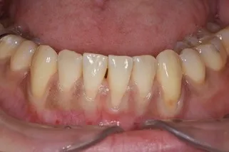
症例

歯肉退縮の形成

治療名
根面被覆治療
治療回数・期間
1回(後日抜糸を行います)
副作用・リスク
歯肉が下がってしまったすべてを回復できるわけではなく、どの程度回復できるかは状態により異なります。
料金
¥110,000(税込)

当店でご利用いただける電子決済のご案内

下記よりお選びいただけます。