医療法人侑和会まつむら歯科

歯医者は大阪府、福島区で歯茎の悩みに対応 | 歯肉移植

お問い合わせはこちら ご予約はこちら

歯肉移植

歯茎の下がり改善を目指す歯肉移植治療

GINGIVAL GRAFT

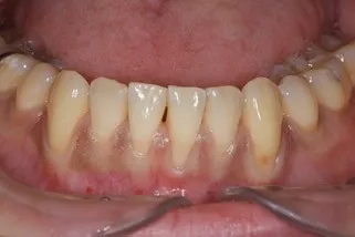
歯茎が下がり歯が長く見えたり、冷たいものがしみたりするお悩みに対し、歯肉移植治療を行っています。歯周病や年齢に伴う変化、過度な歯磨きなどにより下がった歯茎に、ご自身の上顎から採取した組織を移植する方法です。露出した歯の根元を覆うことで、見た目の改善や知覚過敏の改善を目指します。マイクロスコープを用いた精密な処置で、身体へのご負担を少なくするよう努めています。

このようなお悩みはありませんか?

「歯茎が下がってきたような気がする」「歯茎が痩せたような気がする」「歯が長くなったような気がする」「冷たいものがしみるようになってきた」ということはありませんか?
このような場合、歯肉退縮が起こっている可能性があります。歯肉退縮の原因はさまざまですが、歯肉移植という方法によって、その改善が可能です。


歯茎が下がる「歯肉退縮」とは?

歯肉退縮とは、歯茎が痩せて下がってくる現象を指します。
歯肉退縮が進むと、もともとは歯茎によって隠れていた歯の根元の部分が見えるようになり、見た目が悪くなり、食べ物が詰まる、汚れが溜まるといった不便も生じます。


歯肉退縮の原因と症状

原因

①歯周病

もっとも多い原因は歯周病です。歯を支えている顎の骨が溶けることで、その上にある歯茎も下がってしまいます。

②加齢

個人差はありますが、加齢によっても歯茎は少しずつ退縮します。

③歯磨きの力が強い

歯磨きの力が強すぎて、必要以上に刺激を与えると、歯茎が痩せ、退縮します。
歯肉移植を行う場合も、あわせてブラッシング指導を受けましょう。

④矯正治療

矯正治療で歯を動かすことにより、歯茎が退縮してしまうことがあります。

⑤噛み合わせの乱れ

噛み合わせが悪いと、一部の歯・歯茎に偏った負担がかかり、歯茎が退縮することがあります。

⑥歯ぎしり・食いしばり

強い力が歯・歯ぐきに加わり、歯茎が退縮することがあります。
歯ぎしり・食いしばり用のマウスピースの使用が有効です。

症状

- 歯茎の痩せる・下がる

- 歯が長くなったように見える

- 歯の根が露出することによる知覚過敏

- 露出した歯の根の虫歯

- 食べ物のつまり


歯肉移植

歯茎が退縮し見た目が悪くなってしまったところに、上顎(口蓋)からとってきた組織を移植し、歯ブラシしやすい環境をつくることで歯を長期的に持たせることができます。
マイクロスコープを用いて精密に治療し、痛みも少なく、傷跡も目立たないようにすることができます。
歯周病、不安定な噛み合わせ、歯ぎしり・食いしばりなどが原因になっている場合には、先に原因の治療を行った上で、歯肉移植を行います。また、正しいブラッシング方法を指導し、今後の歯肉退縮を予防します。

遊離歯肉移植術

(FGG:Free Gingival Graft)

上顎から上皮のついた結合組織を採取し、歯茎が失われた部位に移植して縫合します。
主に臼歯部に行い、歯ブラシがしやすい環境を整えます。

結合組織移植術

(CTG: Connective Tissue Graft)

上顎から、上皮のない結合組織のみを採取し、歯茎が失われた部位に移植して縫合します。
ブリッジの下に食べかすがたまらないようにしたり、インプラントや被せの部分の歯肉退縮を予防したりすることができます。


歯肉移植の注意点

- 麻酔が切れるまでは、なるべく食事を控えてください。
- 麻酔が切れてから痛みがある場合は、痛み止めを服用してください。
- 処置した当日は、運動、飲酒、入浴は控えてください。
- なるべく反対側で噛んでください。
- 術後、しみたり腫れたりする事がありますが、強い場合はご連絡ください。
- 強くうがいをすると止血しにくくなるので、控えてください、
- 傷口を白いカバーで覆っている時は触らず、外れた場合はご連絡ください。
- 基本的に翌日消毒を行い、縫合したところは1週間後に抜糸しますので、それまでは触らないでください。
- 歯肉が落ち着くまでは、傷口の歯磨きは控えてください。術後しばらくは下の図のように歯に歯磨きをお願いします。

歯肉移植の費用

CTG
¥88,000(税込)
FGG
¥88,000(税込)

歯肉移植に関するQ&A

歯肉移植手術後、切り取ったところが凹んでいます。これはそのまま放置をしていても大丈夫ですか?

大丈夫です。数か月したらほぼ完全に戻ることが多いです。

歯肉移植のデメリットってありますか?

外科手術で、術野が2か所にわたることだと思います。

今、20代なのですが歯茎が下がっている気がします。この年齢で移植する人はあまりいないですか?

そんなことありません。年齢にかかわらず治療できます。

矯正を考えているのですが、矯正が原因で歯肉移植をすることってあるんですか?

矯正治療によって歯肉退縮を引き起こすことがあります。事前にその可能性が高ければ、矯正治療前に歯肉移植を行います。

当店でご利用いただける電子決済のご案内

下記よりお選びいただけます。