医療法人侑和会まつむら歯科

歯医者は大阪府、福島区で質の高い治療法を提案 | ダイレクトボンディング

お問い合わせはこちら ご予約はこちら

ダイレクトボンディング

削る量を抑えたダイレクトボンディング

DIRECT BONDING

比較的小さな虫歯や欠けた歯のために、型取りをせず歯科用の樹脂を直接歯に盛り付けて形を整える、ダイレクトボンディングという治療法を提案しています。歯を削る量を抑えられるため、ご自身の歯をできるだけ残したい方に適した方法です。治療は1日で完了し、天然歯に近い自然な色合いに仕上げられます。マイクロスコープやラバーダムを使用し、より精密で質の高い治療を目指します。

ダイレクトボンディングとは?

素材は何からできている?

ダイレクトボンディングとは、比較的小さな虫歯に対して行われる治療です。虫歯部分を削り、そこに数種類の樹脂(レジン)を盛り付けて修復します。詰め物や被せ物のような「型取りをして作製したものを取り付ける治療」とは異なり、直接材料を盛り付けていくことから、この名がついています。詰め物・被せ物と比べて歯を削る量が少なく、治療期間が短いといったさまざまなメリットがあります。保険診療の樹脂と比べ、審美性に優れた材料(レジン)を使用することから、見た目も自然な仕上がりとなります。虫歯治療の他、欠けた歯を修復したいとき、歯の形を整えたいときなどにも行うことができます。

「ダイレクトボンディング」はこのような方におすすめです

- 歯を大きく削りたくない方
- 金属を使わない治療を受けたい方
- 金属の詰め物を白い材料に取り換えたい方
- 欠けた歯をきれいに修復したい方
- 前歯など、歯と歯の間の隙間が気になる方
- 前歯など、歯の形を整えたい方


当院のダイレクトボンディングの特徴

ラバーダムを使用しています

ラバーダムとは歯の周りにゴムシートを設置して、歯に対しては唾液や湿気の感染がないよう、お口に対しては削った虫歯や細菌やお水が流れ込まないように、カバーをする装置です。ラバーダムは保険治療外となるため、全国でもラバーダムを使用しているクリニックは非常に少ないのですが、患者様の負担を減らし、治療の質も向上するために、当院ではラバーダムを使用しています。

治療時間が短い・治療後の痛みが少ない

当院でのダイレクトボンディング治療は1時間程度でほとんどの治療が終わってしまいます。
また、治療後95%の方は痛みもなく安定しています。

より安全性と精度の高い治療の実現

より安全で精度の高い治療を行うため、拡大鏡やマイクロスコープを用いた8~20倍拡大視野でダイレクトボンディング治療を行います。

6カ月保証

ダイレクトボンディングの治療後、6カ月以内はやりなおしが無償で行えます。


ダイレクトボンディングの寿命

ダイレクトボンディングでは、専用の材料を用いて虫歯の後を綺麗に充填します。セラミックには色調はやや劣るものの、歯を削る量は少なく済み、適切に管理を行えば、長期的に問題なく使用できます。


ダイレクトボンディングのメリット・デメリット

メリット

- 歯を削る量が少なく済みます。
- 型取りが不要です(※)。
- 治療期間が短く、即日対応が可能です。
- 天然歯との境目がきれいに仕上がります。
- セラミック治療に比べて低価格です。
- 保険のプラスチック素材と比べて、白さが長持ちします。

※歯の形を整える必要がある場合などには、型取りが必要となることがあります。

デメリット

- 虫歯が進行している場合は、適応にならないことがあります。
- 歯科医の技術によって、仕上がりに差が出ることがあります。

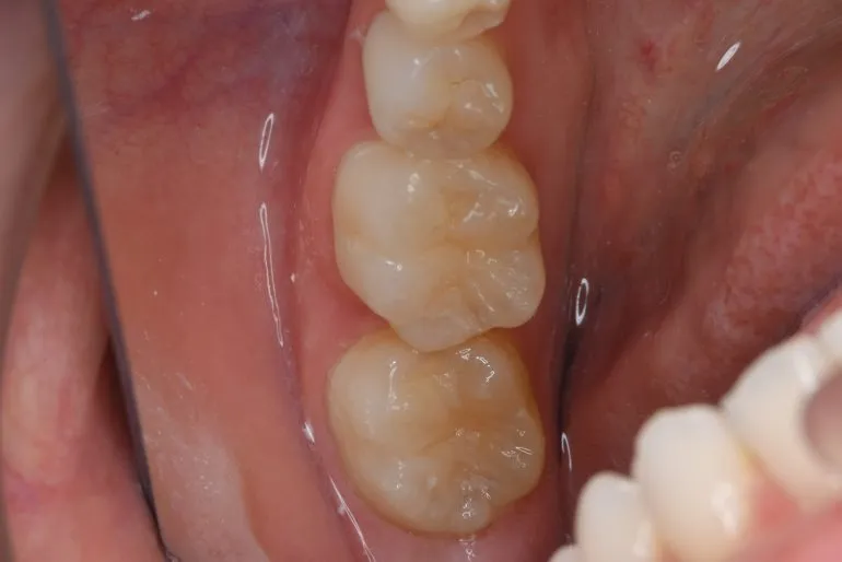
ダイレクトボンディングの症例

症例1

治療名
ダイレクトボンディング
治療説明
以前の治療箇所の状態が悪いため、取り除き、新たに詰め直します。天然歯との境目がわからないよう、丁寧に研磨し自然な仕上がりにしました。
治療回数・期間
90分(1日で終わります)
副作用・リスク
強い衝撃などにより欠けたりすることがあります。長期的に維持するためには、定期検診やメンテナンスが重要です。
料金
1歯¥66,000(税込)

症例2

治療名
ダイレクトボンディング
治療説明
以前の治療箇所の状態が悪いため、取り除き、新たに詰め直します。天然歯との境目がわからないよう、丁寧に研磨し自然な仕上がりにしました。
治療回数・期間
90分(1日で終わります)
副作用・リスク
強い衝撃などにより欠けたりすることがあります。長期的に維持するためには、定期検診やメンテナンスが重要です。
料金
1歯¥66,000(税込)

症例3

治療名
ダイレクトボンディング
治療説明
以前の治療箇所の状態が悪いため、取り除き、新たに詰め直します。天然歯との境目がわからないよう、丁寧に研磨し自然な仕上がりにしました。
治療回数・期間
90分(1日で終わります)
副作用・リスク
強い衝撃などにより欠けたりすることがあります。長期的に維持するためには、定期検診やメンテナンスが重要です。
料金
1歯¥66,000(税込)

治療の流れ

カウンセリング・検査

01

患者様のお口の状態を確認し、ダイレクトボンディングが適しているかどうかを判断いたします。

型取り(必要な方)

02

歯の形を整える必要がある場合など、型取りが必要になることがあります。カウンセリングでお伝えいたします。多くの症例では不要です。

クリーニング

03

歯の表面の汚れ、プラーク、歯石などを除去します。

ダイレクトボンディング

04

数種類のハイブリッドセラミックを盛り付け、歯を修復していきます。型取りを行った場合には、型枠を使って形成します。

メンテナンス

05

治療部位やお口全体の健康状態をチェックするため、定期的にメンテナンスにご来院ください。気になる変色は、盛り付けた部分のみを研磨し、白さを取り戻すことができます。


ダイレクトボンディングの費用

ダイレクトボンディング
1歯¥66,000(税込)

ダイレクトボンディングに関するQ&A

ダイレクトボンディングの治療後、何時間すれば食事はしても良いのですか?

麻酔が切れたらすぐにでも食事していただいて構いません。

ダイレクトボンディング後にホワイトニングをしても良いのですか?

見た目をこだわりたい方はホワイトニングを優先したほうがいいので、一旦保険で治療したあとホワイトニングしてからダイレクトボンディングを行って見た目を綺麗にすることもできます。

歯が小さくて隙間が多い人でもダイレクトボンディングは可能ですか?

歯の大きさや隙間によっては、ダイレクトボンディングの適応ではない方もいらっしゃいます。その時はラミネートべニアやかぶせにすることをお勧めします。

当店でご利用いただける電子決済のご案内

下記よりお選びいただけます。