医療法人侑和会まつむら歯科

歯医者は大阪府、福島区で健やかな口元の成長を長期的にサポート | 小児矯正

お問い合わせはこちら ご予約はこちら

小児矯正

顎の成長を利用した子どもの矯正治療

PEDIATRIC CORRECTION

子どもの矯正治療は、顎が成長する力を利用できるのが大きな利点です。永久歯がきれいに並ぶスペースを確保する1期治療と、永久歯が生え揃ってから歯並びを整える2期治療があり、早期に治療を始めることで、将来的な抜歯のリスクを減らせる可能性が高くなります。お子様と保護者様のご協力のもと、健やかな口元の成長を長期的にサポートいたしますので、ぜひご相談ください。

子どもの矯正はいつから始める? 

I 期・II 期治療とは?

お子様の矯正治療を開始するタイミングは、そのお子様の歯並びの状態や顎の骨の状態によって異なります。
骨格に問題がある受け口などの場合は3~4歳頃に治療を開始することもありますが、通常は、5~6歳頃にご相談いただければ問題ありません。ただし、その時点で問題がなくとも、その後も定期的に歯並びを観察していく必要があります。
小児矯正には、乳歯と永久歯が混在している時期に行う I 期治療と、永久歯が生え揃ってから行う II 期治療があります。

I 期治療:永久歯が生え始めたら

5~6歳頃から12歳頃までの乳歯と永久歯が混合している、混合歯列期に行う治療です。
この時期は、顎の成長を適切にコントロールすることに主眼が置かれ、十分なスペースを確保しておくことで、永久歯がきれいに並びます。
I 期治療を受けておくと、II 期治療が不要になったり、治療を行うにしてもご負担の軽いもので済んだりすることが期待できます。

II 期治療:永久歯が生え揃ったら

おおよそ12歳以降の、永久歯が生え揃ってから行う治療です。
一般的な成人矯正とほぼ同じように、同じ装置を使って本格的に歯を動かしていきます。もちろん、I 期治療を受けるタイミングを逃してしまったという場合にも、II 期治療からスタートすることができます。
一人暮らしを始めたり、社会人になると、なかなか治療を受ける時間がとれなくなるため、歯並びに気になる点がある場合には、比較的時間のあるこの時期に、お子様に治療を受けさせてあげましょう。

小児矯正をおすすめするケース

受け口(反対咬合)

歯肉退縮とは、歯茎が痩せて下がってくる現象を指します。
歯肉退縮が進むと、もともとは歯茎によって隠れていた歯の根元の部分が見えるようになり、見た目が悪くなり、食べ物が詰まる、汚れが溜まるといった不便も生じます。

オープンバイト(開咬)

奥歯を噛んだときも、上下の前歯に縦方向の隙間がある状態です。前歯は食べ物を噛み切る役目を担っていますので、それが難しくなります。発音への支障や顎関節症のリスクの上昇も懸念されます。

出っ歯(上顎前突)

上の前歯が、下の前歯よりも大きく前方へと出ている状態です。見た目の問題に加え、口呼吸が懸念されます。口腔が乾くため、虫歯や将来的な歯周病のリスクが高くなります。

八重歯・デコボコした歯(乱ぐい歯)

歯が歯列から飛び出していたり、前後にデコボコして重なり合っている状態です。噛み合わせの乱れ、清掃性の低下が懸念されます。汚れが溜まりやすく、しかも磨きにくいため、虫歯や将来的な歯周病のリスクが高くなります。


子どもの矯正におけるメリット・デメリット

メリット

顎の成長する力を利用して無理なく治療できる

顎の成長する時期に治療を開始できるため、その成長をコントロールしながら、成人矯正よりもご負担の少ない形で治療を行うことが可能です。

外科治療・抜歯が必要になるケースが少ない

顎の成長が止まっている大人とは異なり、顎の成長をコントロールしたり、スペースをつくったりすることができるため、外科治療、抜歯が必要になるケースが少なくなります。

口腔機能を整えやすい

小児矯正の中では、唇、下、頬などの筋肉の正しい使い方を覚えることも重要になります。このトレーニングによって、口呼吸や舌の癖などを改善することができます。

成人矯正が不要になることが期待できる

小児矯正を受けておくことで、大人になってからの矯正治療が不要になったり、ご負担の軽いもので済むようになったりすることが期待できます。

デメリット

長期にわたって経過観察が必要

顎の成長がほぼ終了する15歳頃までは、経過観察が必要なため、治療を終えても定期的にご来院いただきます。

装置の見た目を気にしてしまうことがある

やはり、装置の見た目を気にするお子様はおられます。ただ近年は、以前と比べて矯正治療が一般的になり、理解も進んでいるため、からかわれたり、装着をどうしても嫌がるというケースは減少しています。

保護者様の協力が不可欠

お子様ご自身だけでは矯正装置を使用したお口の管理はできません。仕上げ磨きをしてあげたり、装着時間を守るよう指導したりといったときには、保護者様のご協力が不可欠です。
当院も最大限のバックアップをいたします。

より丁寧な口腔ケアが求められる

装置によっては、汚れが溜まりやすくなることがあります。ただ、ご自宅での丁寧なセルフケアと保護者様による仕上げ磨き、歯科医院での定期的なクリーニングを行っていれば、過度に心配する必要はありません。


当院で扱う子どもの矯正の種類

床矯正

主に I 期治療で使用します。装置により顎の骨を拡大し、永久歯がきれいに並ぶためのスペースを確保します。

インビザライン

主に II 期治療で使用します。薄く透明なマウスピースを交換していくことで、歯を動かします。装置が目立たないため、容姿に敏感になる年齢であっても、ストレス少なく使用していただけます。ワイヤー矯正などと比べると、管楽器などの演奏への影響も抑えられ、スポーツをするときにも邪魔になりません。

ムーシールド

受け口の治療を目的として、3~5歳頃に使用するマウスピース型の矯正装置です。舌や唇、頬などのお口まわりの筋肉の状態を整え、歯並びを改善します。装着時間は「就寝中+日中のいずれかの1時間」で、保育園や幼稚園に行くときや、遊びなどの際に装着する必要がありません。

アクチベーター

出っ歯や受け口の治療を目的として、主に I 期治療で使用します。筋機能を利用して、前歯を抑えるなどして歯並びを改善します。


MFT(口腔筋機能療法)

MFT(口腔筋機能療法)では、主に舌のトレーニングを行います。舌を中心とするお口まわりの筋肉を鍛えることで、歯並びの原因となる癖・習慣を改善します。根本的な原因が取り除かれることで、矯正治療後の後戻りの可能性も低くなります。当院ではMFTを習得している歯科衛生士や歯科助手がお子さんが楽しみながらできるよう、治療に取り組んでいます。月一度のご来院で習得していただくことで、その後ご自宅でも親子で取り組んでいただけます。


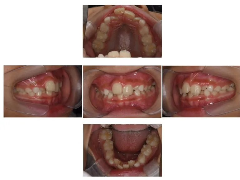
小児矯正の症例

反対咬合(受け口)

ムーシールドを使用して噛み合わせを治しました。

治療名
ムーシールド
副作用・リスク
後戻りの可能性があるため、経過観察が必要です。

床矯正

専用の器具により顎の広さを成長と共に広げます。

治療名
床矯正
副作用・リスク
矯正治療中に装置が頬の内側に当たり、傷がついたり、口内炎になったりする場合があります。

急速拡大装置

治療名
急速拡大装置を使った矯正治療
治療期間
6ヶ月
副作用・リスク
装置は接着剤で歯に固定するため、ご自身で取り外すことはできません。装置装着後は1週間程度、感覚の違いによるストレスを感じる方もいるかもしれません。
料金
¥110,000(税込)※別途精密検査の費用が必要

小児矯正の費用

小児矯正I期
インビザライン
¥572,000(税込)
拡大床
¥451,000(税込)
小児矯正Ⅱ期
インビザライン
¥451,000(税込)
拡大床
¥385,000(税込)

子どもの矯正は医療費控除の対象?

矯正治療は、お子様であっても、審美目的である場合には、医療費控除の対象外となります。反対に、歯並びの乱れがお子様の成長に悪影響を及ぼす可能性がある場合には、医療費控除の対象となります。
ただし、最終的な判断は、お住まいの地域を管轄する税務署が行うことになるため、ご不安な場合には、事前に税務署に問い合わせてみることをおすすめします。

医療費控除とは

1月1日~12月31日の1年間で、ご自身やご家族のために支払った医療費の合計が10万円を超えた場合に、確定申告を行うことで一定の控除が受けられる制度です。

小児矯正に関するQ&A

こどもの矯正は早めに行うと、早めに終了できるのでしょうか?

お子様の状況によって、早めにやった方が良いことともう少し待ってからやった方が良いことがありますが、永久歯に全て生え変わるスペースができるまでどのように顎が成長するかはしっかり見る必要がありますので、早めにやったら早めに終わるというよりは、お子様の成長ペースによって治療期間がかわります。

こどもの滑舌が悪いのですが、小児矯正をすると治りますか?

滑舌が悪いのは、舌の筋肉やポジションが大きくかかわっていますので、矯正だけで治るというよりは、調整時にご案内するMFT(口腔筋機能療法)などを行ったりすることで、発音しやすい状況を作ることができます。

こどもの矯正中に食べてはいけないものはありますか?

矯正中は装置を外すので、何でも食べて大丈夫です。

すきっ歯(はぐきがやせる)でものが挟まってしまう。今から元に戻らないものなのか?隙間を無くして欲しい。できますか?

歯茎が痩せる理由をしっかり見極めたら、隙間をなくすことはできます。状況によって必要な治療が変わってくるので、一度診察させていただいた方がいいかもしれません。

歯の矯正に適した年齢の目安ってあるんでしょうか?

矯正治療は成人矯正治療と、子供の矯正治療に分かれますが、 大体6歳から子供の矯正治療、またはその準備をしていくことになります。 歯列の拡大は9歳ぐらいまで。上の顎の成長を抑制するのは10~14歳ぐらいまででしょうか。 状況にもよりますが、成人矯正治療は、女性は15歳ぐらいから、男性は18歳ぐらいから行います。顎の成長がストップしてからしっかりと噛ませる治療を行うことにしています。 全体的な矯正は、50代まで行えます。

当店でご利用いただける電子決済のご案内

下記よりお選びいただけます。