医療法人侑和会まつむら歯科

歯医者は大阪府、福島区で歯周病を予防 | 予防歯科(歯石除去・歯のクリーニング)

お問い合わせはこちら ご予約はこちら

予防歯科

定期的なケアで口内環境をサポート

PREVENTIVE DENTISTRY

虫歯や歯周病を未然に防ぐための予防歯科に力を入れており、ご自宅でのセルフケアでは落としきれない歯石やプラークを、専門の器具を用いて除きます。着色汚れも落とせるエアフローも導入しており、歯本来の白さに近づける助けにもなります。お口の状態に合わせたブラッシング指導やフッ素塗布にも対応しており、唾液検査で虫歯リスクを把握し、予防計画を立てることも可能です。

予防歯科とは?

内容や歯科検診との違い

予防歯科では、虫歯や歯周病などの口腔トラブルの予防を行います。
歯科検診との違いは、お口の中の状態を調べるだけでなく、実際にそのリスクに応じた予防処置を行う点です。

検査・診断

口腔内検査、歯周病検査、レントゲン検査などを行い、虫歯や歯周病といった口腔トラブルの有無を調べます。

歯石除去 (エアフロー)

EMSエアフローは微粒子パウダーを水と空気と共に歯に噴射する装置です。この方法により、歯の表面、歯と歯の間、そして歯周ポケットに蓄積したプラーク、歯石、着色汚れなどを効率的に取り除くことが可能です。

歯のクリーニング (PMTC)

専用の器具を使用し、特殊なブラシで行う歯面清掃です。歯面はツルツルに仕上がり、プラークが付着しにくくなります。

ブラッシング指導

患者様のお口の状態に合ったブラッシング方法を指導します。歯間ブラシ・デンタルフロスの選び方や使い方など、日ごろの疑問についてもお気軽にお尋ねください。

フッ素塗布

高濃度のフッ化ナトリウムを塗布し、歯の再石灰化の促進、歯質の強化を行います。乳歯が生えたたばかりの赤ちゃんから受けられ、高い虫歯予防の効果が期待できます。

唾液検査

口腔内の自浄作用、歯の再石灰化作用を持つ唾液の量、質、虫歯菌の量を調べることができる検査です。検査結果に基づき、より効果的な予防法をご提案できます。


予防歯科を行うメリット・デメリット

メリット

虫歯・歯周病の予防

予防歯科における最大のメリットです。虫歯や歯周病といった口腔トラブルを、効率的に予防できます。

歯・歯茎を長く健康に保つ

歯科医・衛生士による定期的なチェックにより、虫歯・歯周病のリスクを低減させ、歯・歯茎を長く健康に保つことができます。

歯・歯茎の審美性を維持できる

歯のクリーニングやブラッシング指導、歯石除去などを定期的に行うことで、虫歯にならず歯の審美性を維持できます。また、歯茎の退縮、変色も起こりにくくなります。

身体の健康にも貢献できる

口腔の細菌は、血管を介して全身へと広がり、脳梗塞や心筋梗塞、動脈硬化や糖尿病などの疾患のリスクを高めます。予防歯科によって口腔の細菌の数を減らすことで、そういった疾患のリスクを下げることができます。

認知症のリスクを下げる

健康な歯を多く残し、しっかり噛めることで、認知症のリスクの低減が期待できます。

長期的に見たときの医療費の削減

将来的な虫歯や歯周病、全身疾患などのリスク低減を考慮すると、予防歯科に取り組まなかった場合と比べて、医療費の削減が期待できます。

デメリット

短期的な経済的な負担

予防歯科を受診するたびに、費用が発生します。

時間がかかる

通院時間を確保していただく必要があります。


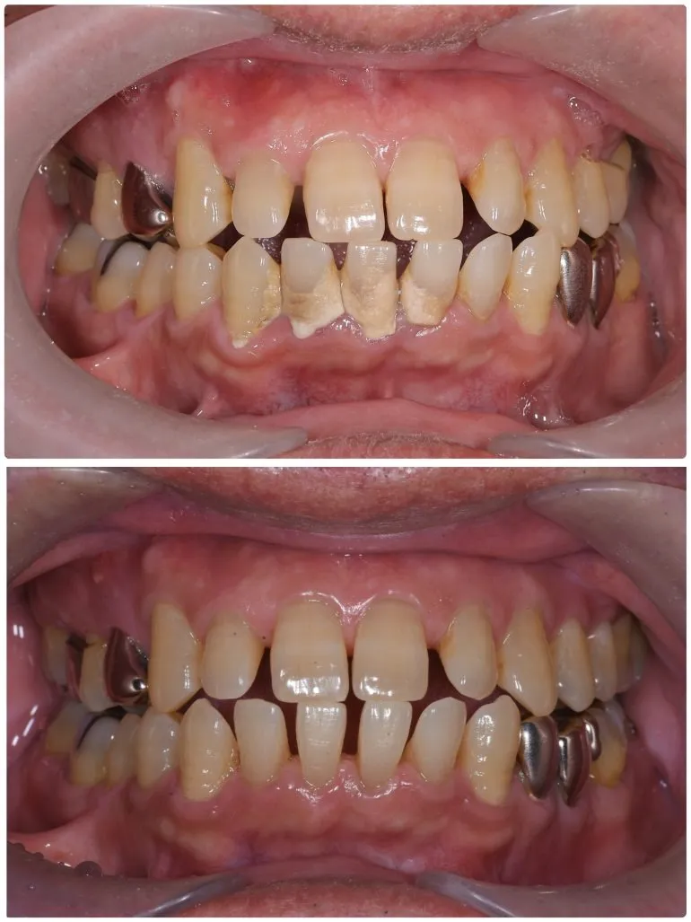
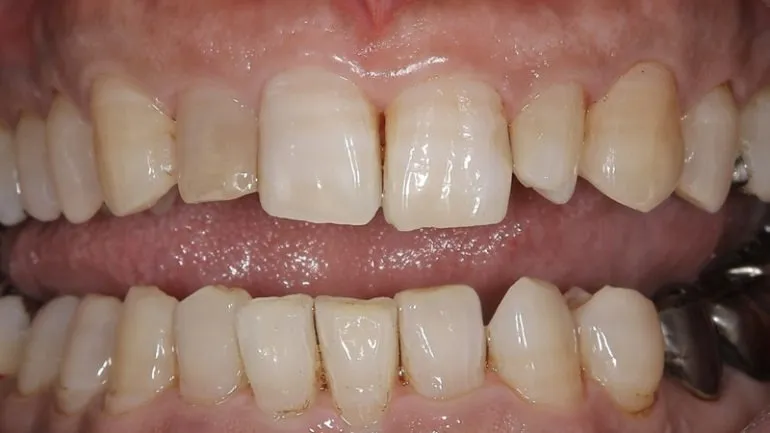
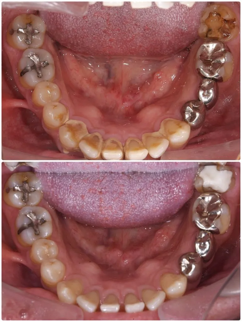
予防歯科症例

(歯石除去・歯のクリーニング)

エアフローを使用したクリーニング

治療名
クリーニング
治療説明
エアフローを使用したクリーニング
治療回数
1回
副作用・リスク
呼吸器系の疾患や、薬剤によるアレルギー、妊娠・授乳期など、お身体の状態によってはエアフローが使用できない場合があります。
料金
保険適用

歯石がこびりついている場合も、保険適用でここまで綺麗になります。
最近歯医者さんに行けていない、または歯医者さんが怖いという方も、ぜひ一度ご相談ください。


自分でも行える「予防歯科」はある?

予防歯科には、セルフケアの指導も含まれており、これをご自宅で実践していただくことも、予防歯科の1つと言えます。
加えて、食生活・生活習慣の改善にも取り組みましょう。

生活習慣の改善や意識をしましょう

生活習慣の乱れは、ご自身ではなかなか気づけないため、定期的に見直しを行い、改善していく必要があります。

- ダラダラ食べをしない
- 決まった時間に食事をとる
- 間食は決まった時間に摂る
- よく噛んで食べる
- 甘いものを控える

- 規則正しい生活リズムを心がける
- 十分な睡眠をとる
- 適度な運動をする
- ストレスを解消する
- 禁煙する
- 鼻呼吸を意識する

自宅で「セルフケア」を行いましょう

歯科医院の指導に基づき、正しいセルフケアを心がけましょう。

- 自分に合った歯ブラシを選び、優しく丁寧に磨きましょう
- 1日3回の食事の後、間食の後は必ずセルフケアを行いましょう
- 歯磨きに加え、歯間ブラシまたはデンタルフロス、洗口剤なども併用しましょう
- 歯磨きができない場合は、口をゆすぐなど、代替策を取りましょう


唾液検査(サリバテスト)で虫歯リスクを診断できる

まつむら歯科では、唾液の採取によって虫歯リスクを知ることのできる、「唾液検査(サリバテスト)」を実施しております。
検査は15分ほどでほとんど苦痛がなく終わりますが、採取した細菌を培養するために結果は後日お伝えします。
保険外の検査になりますが、虫歯になることを考えたら決して高くありません。虫歯を1~2本治す場合の3割負担の方の料金と変わらない料金ですので、ぜひ受けていただくことをお勧めします。

唾液検査の必要性

私たちの口腔で、「虫歯を発生させない」ために頑張ってくれているのが、唾液です。自浄作用とともに、歯の再石灰化を促し、虫歯菌の出す酸によって溶け出したカルシウムやミネラルを歯に戻そうとしてくれています。
この唾液の量や質、虫歯菌について調べることができるのが、唾液検査です。唾液の状態を把握することで、より効果的な予防法のご提案が可能になります。

このような方におすすめです

- 長くお口の健康を維持したい方
- 虫歯になりやすいお子様
- 妊娠を予定している方
- 繰り返し虫歯になってしまう方

唾液検査の診断内容

唾液検査では、唾液の量や質、ミュータンス菌、ラクトバチラス菌を調べることができます。

唾液の量や緩衝能の検査
唾液の自浄作用・再石灰化作用が発揮されるためには、唾液の量が十分でなくてはなりません。
緩衝能とは、歯が溶けやすい酸性の状態を中和する力のことを指します。

虫歯菌「ミュータンス菌」の検査
虫歯を引き起こす原因となる「ミュータンス菌」の量を調べます。

虫歯を進行させる「ラクトバチラス菌」の検査
虫歯を進行させる原因となる「ラクトバチラス菌」の量を調べます。

唾液検査の流れ

簡単な問診を行います。

01

味のないガムを噛み、唾液の分泌を促します。

02

唾液を採取します。

03

唾液の量、中和力を測定します。

04

唾液から、ラクトバチラス菌を採取します。

05

舌・プラークから、ミュータンス菌を採取します。

06

ラクトバチラス菌、ミュータンス菌を培養します。

07

後日、検査結果をお伝えするとともに、結果に基づいた予防法をご提案します。

08

唾液検査を受ける際の注意事項

- ご予約の際、唾液検査を希望する旨をお伝えください。ご予約なしの受診の場合、初診では実施できないことがあります。
- 服薬中の方は、ご予約時にお伝えください。
- 唾液検査(サリバテスト)は自費診療です。¥3,300(税込)
- 検査前1時間は、飲食、喫煙、歯磨き、運動を控えてください。
- 検査前12時間は、マウスウォッシュなどの洗口液を使用しないでください。

予防歯科に関するQ&A

歯石取りってどれくらいの間隔で行った方が良いですか?

歯石取りは、当院ではメンテナンスと呼びますが、歯石だけを取るのではありません。歯石が付いていない所も汚れがたまっているので、患者様によりますが1~3ヵ月おきには来ていただくことが多いです。

私は朝・昼・夜と徹底して歯磨きをしていますが、それでも歯医者に行った方が良いですか?

かなり磨ける人でも20%は取り残しています。また、痛くならない虫歯や歯周病、歯にヒビが入っているなど、異常を早めに知ることができれば少ない治療で治りますので、行った方が良いと思います。

先日、久々に歯石を取りに歯医者さんに行きました。 大きな歯石が詰まっていた歯の間が、歯石を取ったことですかすかになってしまいました。 歯の隙間を埋めるような治療ってないのでしょうか?

スカスカなのは歯周病で歯茎が下がっている場合が多いですが、歯の間の歯茎を再度盛り上げていく治療もあります。ですが通常の歯肉移植より難易度は高いので難しい場合が多いです。

当店でご利用いただける電子決済のご案内

下記よりお選びいただけます。