医療法人侑和会まつむら歯科

歯医者は大阪府、福島区で歯型を採得 | 大阪でインビザライン治療ならまつむら歯科

お問い合わせはこちら ご予約はこちら

インビザライン

目立ちにくく快適なマウスピース矯正

INVISALIGN

周囲に気づかれにくい矯正治療を希望される方のために、マウスピース型の矯正装置であるインビザラインを提案しています。薄く透明な装置のため装着中も周囲から目立たず、食事や歯磨きの際には取り外し可能です。3D光学スキャナーiTeroを導入しており、粘土のような印象材を使わずに精密な歯型を採得し、治療後の歯並びを画像でシミュレーションすることも可能です。

目立たないマウスピース矯正とは?

マウスピース矯正とは、ブラケットやワイヤーを使用せず、代わりに薄く透明なマウスピースを装着し、3日~1週間ごとに交換することで歯を動かしていく矯正方法です。

装着している間も目立ちません。また、食事・歯磨きの際には取り外すことができるため、快適に毎日を過ごせます。

このような方におすすめです

- ワイヤー矯正の見た目が気になる方
- 周囲に気づかれずに矯正治療を受けたい方
- 仕事の都合でワイヤー矯正が難しい方
- 矯正装置に食べ物が詰まったり、歯磨きがしづらいことが心配な方

マウスピース矯正「インビザライン」とは?

マウスピース矯正というのは一般的な呼び名であり、各メーカーでさまざまな種類が開発されています。
大阪のまつむら歯科ではその中でも圧倒的なシェアを誇る「インビザライン」を導入しています。膨大な過去の症例から最適な歯の動かし方が導き出すことが可能で、型取りは基本的に最初の1回のみとなっているため、精度の高さと患者様のご負担の少なさが特徴です。また、当院ではインビザラインと連携できる3Dスキャナー「iTero」を導入しており、印象材を使った型取りも不要です。

3Dスキャナー「iTERO」で歯並びのシミュレーションが可能

iTeroを導入している当院では、機械の先端を口腔に挿し込み、数分間スキャンすることで型取りができます。
また、そのデータを活用し、現在の歯並びから治療後の歯並びまでを3D画像によってシミュレーションします。このシミュレーションをもとに、精密なマウスピースが作製されます。シミュレーション画像は患者様にもご覧いただくことができ、より治療の進行がイメージしやすくなり、モチベーションのアップにつながります。


インビザラインのメリット・デメリット

メリット

- 装置が目立ちにくい
- 痛みが少ない
- 食事や歯磨きで取り外せるので、ストレスが少ない
- 取り外して洗えるので衛生的
- 事前にシミュレーションが可能
- 通院頻度が少ない(1~3ヵ月に1回)
- 金属アレルギーの心配がない
- 粘膜や舌を傷つけない
- 発音やスポーツへの支障が少ない

デメリット

- 1日20時間以上の装着が必須です
- 骨格に問題がある場合など、適応外となる場合があります
- 初めて装着したときや、交換直後は多少違和感を感じる場合があります

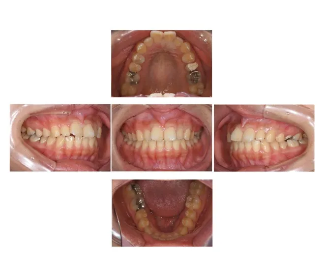
インビザラインの症例

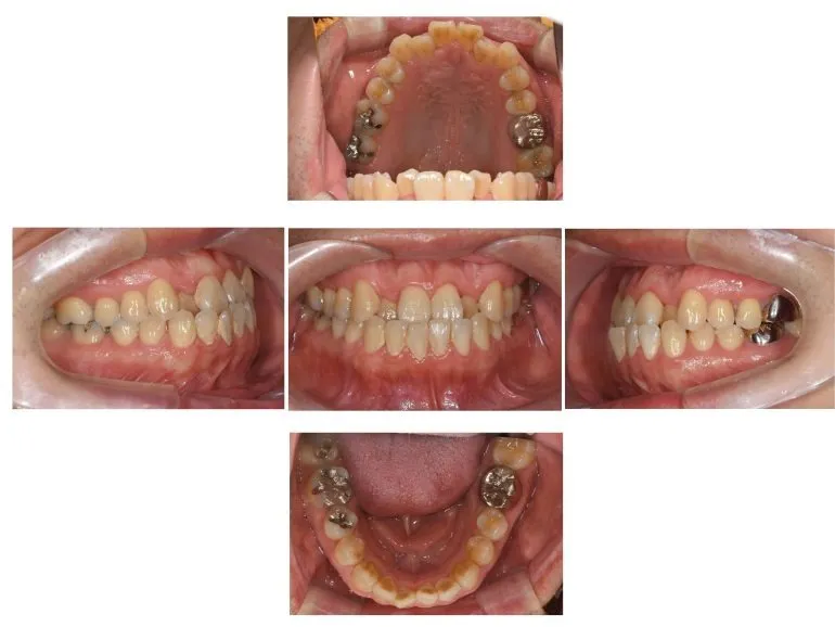
【症例1】

治療名
インビザライン
治療説明
マウスピース矯正「インビザライン」による歯列矯正
治療回数・期間
約1年
副作用・リスク
矯正装置の適切な装着が不可欠です。適切な装着方法や装着時間を守らない場合は、計画通りに歯列が移動しない可能性があります。
料金
¥847,000(税込)

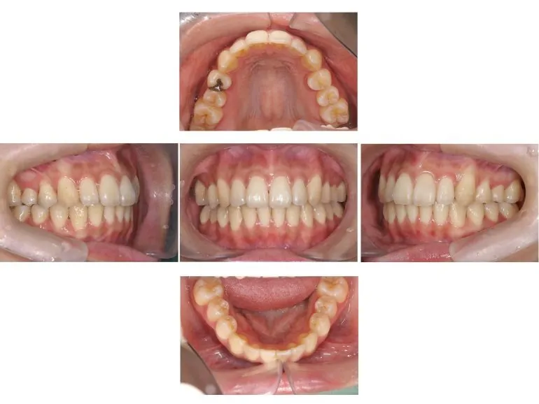
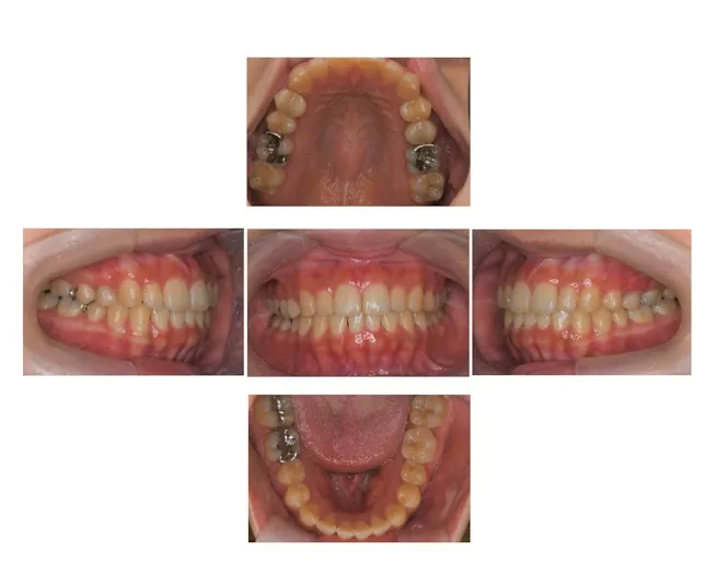
【症例2】

治療名
インビザライン
治療説明
マウスピース矯正「インビザライン」による歯列矯正
治療回数・期間
治療期間8ヶ月、リファインメント1回
副作用・リスク
矯正装置を適切に装着することが不可欠です。適切な装着方法や装着時間を守らない場合は、計画通りに歯列が移動しない可能性があります。
料金
¥847,000(税込)

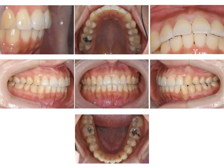
【症例3】

治療名
インビザライン
治療説明
マウスピース矯正「インビザライン」による歯列矯正
治療回数・期間
治療期間1年10ヶ月
副作用・リスク
矯正装置を適切に装着することが不可欠です。適切な装着方法や装着時間を守らない場合は、計画通りに歯列が移動しない可能性があります。
料金
¥847,000(税込)

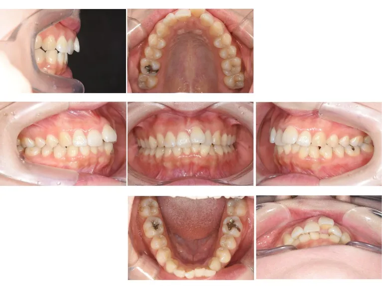
【症例4】

治療名
インビザライン
治療説明
マウスピース矯正「インビザライン」による歯列矯正
治療回数・期間
1年5ヶ月
副作用・リスク
矯正装置を適切に装着することが不可欠です。装着方法や装着時間が適切でない場合、計画通りに歯列が移動しない可能性があります。
料金
¥847,000(税込)

治療の流れ

初診・カウンセリング

01

歯並びのお悩みについてお伺いし、お口の中を拝見させていただきます。その上で、インビザラインによる矯正治療の適応かどうかを判断いたします。適応であれば、治療内容をご説明し、検査・治療をご希望の方には、次のステップへ進みます。

精密検査

02

口腔内撮影、口腔内検査、CT検査などを行い、虫歯や歯周病が見つかった場合は、先にそれらの治療を行います。

iTeroによる型取り・シミュレーション

03

iTeroを使用して、型取りを行います。そのデータをもとに、現在の歯並びから治療後の歯並びまでをシミュレーションします。シミュレーション画像は、患者様にもご覧いただきます。

マウスピースの作製

04

シミュレーションの内容に微調整を加えてから、インビザラインの開発元・製造元である「アライン・テクノロジー社」に発注します。

治療期間

05

当院にインビザラインが届き次第、治療を開始いたします。マウスピースは1~3週間ごとに交換します。また、1~3ヶ月ごとに来院いただき、新しいマウスピースのお渡しと、歯並びを含めたお口の状態のチェックを行います。

保定期間

06

治療が終わると、保定期間へと移行します。保定装置を使用して、歯の後戻りを防ぐための大切な期間です。保定期間は、治療にかかった期間と同じ長さが必要になります。


インビザライン(マウスピース矯正)の費用

インビザライン(部分矯正)
¥462,000(税込)
インビザライン(フル)
¥847,000(税込)
インビザライン(抜歯あり)
¥1,047,200(税込)
インビザライン後のワイヤー
¥165,000(税込)

インビザライン(マウスピース矯正)に関するQ&A

インビザラインを初めて数日なんですけど、インビザラインを外して食事をする時がすごく痛いです。どれくらい経てば痛くなくなりますか?

歯がしっかり動いていけば本当に2~3日で痛みが治まりますが、酷い場合は一度みせていただいた方が良いと思います。

インビザラインを検討しているのですが、検査の時にEラインを作れるかどうかって分かりますか?

原則すべての患者様で顔貌も写真にとってクリンチェックというシュミレーションを行いますので、ある程度予測可能です。

先日、インビザラインの相談に行ったとき、抜歯を勧められました。矯正はしたい気持ちはありますが、健康な歯を抜歯することに抵抗感があります。抜歯をしても体が悪くなったり滑舌が悪くなることはないですか?

抜歯をしたくない場合は、他の方法を検討します。抜歯をしたことによって滑舌がわるくなることはあまりないと思います。

インビザラインをしてから口内炎が出来た気がするのですが、関係はありますか?

インビザラインはワイヤー矯正に比べるとお口の中を不潔にしにくいので、口内炎ができやすいということはありませんが、食事の際にアタッチメントやボタンなど飛び出しているところに口内炎を起こしやすいことは確かです。気になる場合は大きさを調整したりします。

当店でご利用いただける電子決済のご案内

下記よりお選びいただけます。