ホームページを更新しました 2025/10/29 こんにちわ、まつむら歯科です。この度ホームページを更新しました。歯科治療を患者様にもっとわかりやすく、身近に感じてもらうために作成しましたので、是非ご覧ください。当院はホワイトニングやボト…
ご好評いただいておりますボトックス治療について 2025/09/08 皆さんこんにちはまつむら歯科原ですまだまだ暑い日が続いておりますが、いかがお過ごしでしょうか?これからのシーズンではたくさんのイベントが待ち構えていますね!!ハロウィンやクリスマスなどなど……
リニューアル・駅看板設置について 2025/08/20 皆様こんにちは!まつむら歯科原ですお盆休みも終わり、そろそろ9月ですが、今年の暑さはいつまで続くのでしょうか。。。冬の方が個人的には好きなので、早く冬にならないかなあと思ってしまいますリニュ…
夏のホワイトニングキャンペーン!今がチャンスです 2025/07/11 皆さんこんばんはまつむら歯科原です少し更新が空いてしまいました…皆さんは大阪万博、もう行かれましたか?私はまだです!うちのスタッフも大半はもう一回は行っているのでだいぶ情報だけはもらっている…
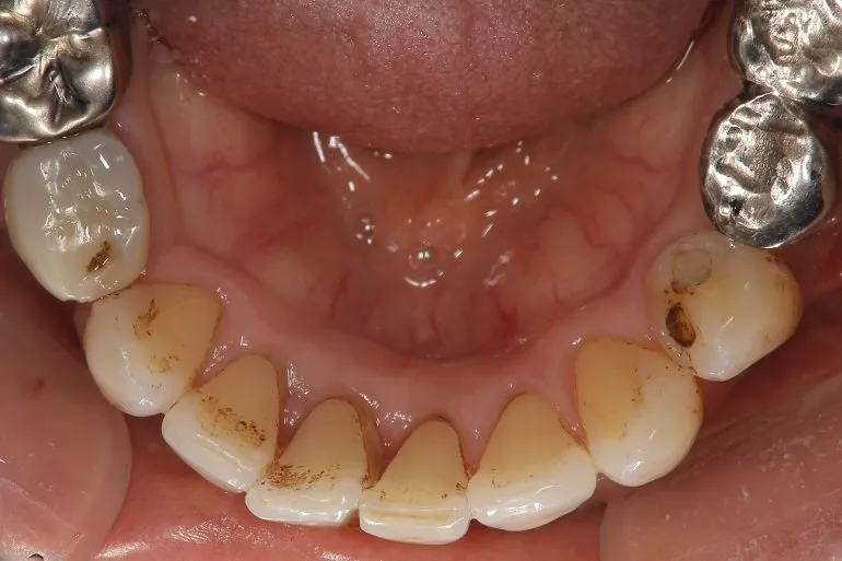
ダイレクトボンディング症例 2025/06/13 皆様こんにちはまつむら歯科原です6月に入って急な雨が多くなってきそうな予感…洗濯物が溜まったりうまく乾かなさそうで心配です夜はまだまだ寒いので風邪をひかないようにお気を付けください~さて本日…
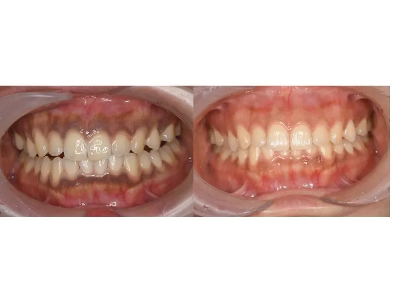
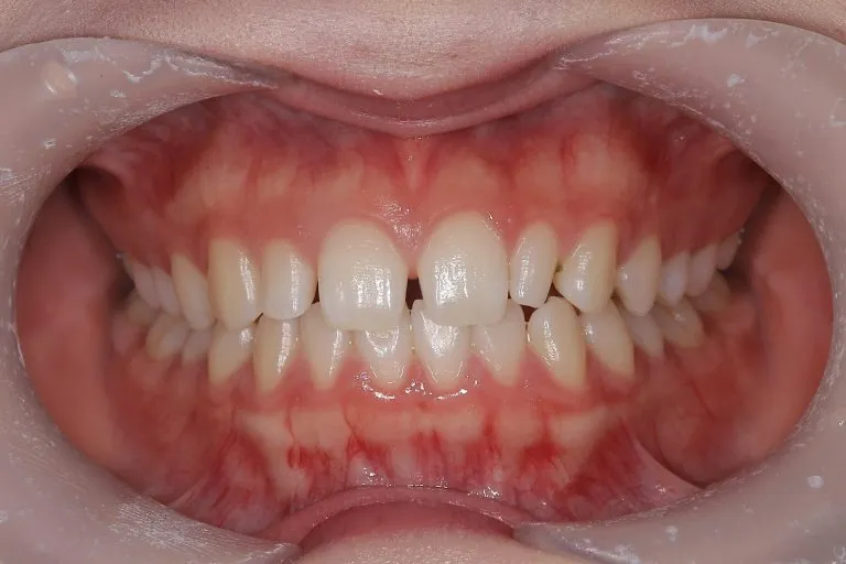
ガムピーリングってご存じですか? 2025/06/03 皆様こんにちはまつむら歯科原です当院では最近矯正希望の患者様や審美を求める患者様が増えています皆さんもSNSなどでホワイトニングや歯の矯正の写真などよく目にされるようになったのではないでしょう…
こどものお口の中を守る!必要なケアとは? 2025/05/20 皆様こんにちはまつむら歯科原です暑くなってきましたね!もうクーラーをいれないとすこし寝苦しさを感じるくらいになりましたとはいえ日によって寒暖差があるので、あまり熟睡できていない気もしますこ…
出会いの春!ホワイトニングで印象アップ狙えます!! 2025/04/30 皆様こんにちはまつむら歯科原です皆様いかがお過ごしでしょうか?私はありがたいことに最近外でお酒を飲む機会や、人と会うことが多く、楽しい日々を送っています!しかし、1つ気にかかっていることが……
知っておいてほしい歯科知識.part2歯磨き粉編 2025/04/16 こんにちはまつむら歯科原ですなかなか気候が安定しませんが、皆様いかがお過ごしでしょうか?暑いのが苦手な私はこのまま夏なんてこなければいいのに、くらいに思ってしまいます今のうちに出かけたいな…
知っておいてほしい歯科知識.part1 2025/04/11 皆さんこんにちはまつむら歯科原です。すっかり春めいてきて、やっとアウターが手放せそうですねとはいえこの春のシーズン、転勤や環境の変化で体調を崩す方が多いです。またこの環境の変化、お口の中に…