皆様こんにちは🤗
まつむら歯科 原です😺
6月に入って急な雨が多くなってきそうな予感…☔
洗濯物が溜まったりうまく乾かなさそうで心配です😥
夜はまだまだ寒いので風邪をひかないようにお気を付けください~😖
さて本日はダイレクトボンディングの症例についてです!
そもそもダイレクトボンディングとは
虫歯の治療の一種で、レジンを充填して治療するものなのですが、
本来なら型取りをしないとできないような大きさのところを直接的にレジンを詰めて治療することができる治療です。
素材は保険のレジンよりもかなり強く、また、着色も付きにくいものを使用しますので、長持ちします!
また、前歯の形を整えたり、すきっぱの治療にも用いられます🤗
ご自身の歯の色にピッタリ合うようにいろんな色を揃えていますので、
治療したとわからないくらい自然にできますよ😊
メリット
・最短一回で治療が可能
・歯を削る量を最小限にできる(または削らないこともある)
・型取りで嘔吐反射がある方におすすめ
・綺麗で長持ちする素材
・着色がつきにくい
・ぴったりと入るので虫歯になりにくい
デメリット
・1回の治療時間がかかる
・長期的な歯ぎしりやくいしばりで欠けたり、すり減ったりする
・保険適用外
かみ合わせは綺麗だけど前歯が気になる方や
過去の治療のレジンが着色してきた方などもおすすめです!
ちなみに私も院長に前歯を治療してもらっています👍
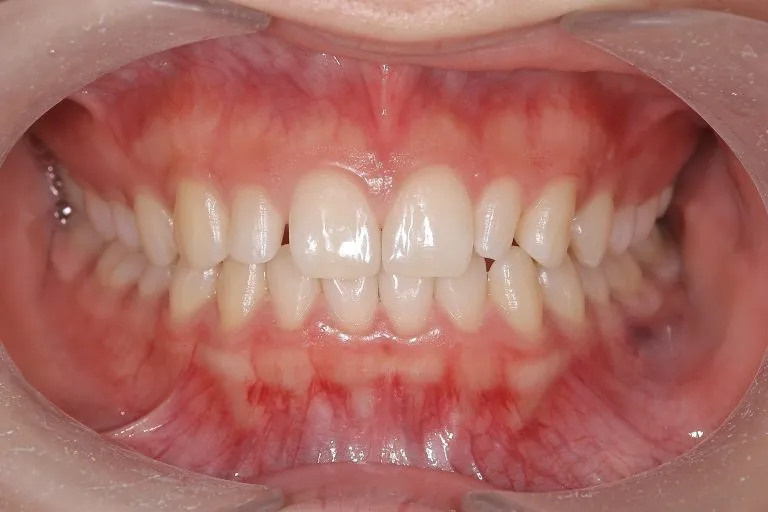
ではここで実際の患者様の症例をお見せしますね🥰
BEFORE

AFTER

この方は削らず、1日で治療終了となりました!
すごく雰囲気が変わりましたよね😊
当院では患者様のご希望をしっかりヒアリングし、
いくつか治療プランを提案し、そこから患者様に治療をご選択いただく形をとっています。
治療プランにご納得、ご安心いただけた上で治療を行っております。
ぜひお口の中にお悩みがある方はいつでもご相談くださいね🤗
⇩ご予約はこちらから⇩
https://reservation.stransa.co.jp/e0c318346016acfa55a9358c06ef3a41


