皆さんこんばんは🤗
まつむら歯科原です🎵
少し更新が空いてしまいました…
皆さんは大阪万博、もう行かれましたか?
私はまだです!😗
うちのスタッフも大半はもう一回は行っているのでだいぶ情報だけはもらっているのですが🤭
でも行く予定が決まったのでとても楽しみにしています!
もう行った方はまたご来院の際に良かった展示のことなど教えてくださいね🤗
さて本題のホワイトニングについてですが、
イベントが多くなるこの時期にピッタリなホワイトニングキャンペーンです🤗
歯の色って意外と人の印象を大きく変えるんですよ!😆
というのも笑うと口って一番お顔の中で大きいパーツなんです。
綺麗な笑顔の人、素敵だなーって思いますよね!
歯が白いと自信を持って人前で笑えるようになりますし、清潔感もでます!🤗
夏の日差しにキラッと光る歯…!写真でも映えそうです🕶️👙🏝️
最近は本当にホワイトニングされている方が多くなってきているな~と私も実感しています。
実際のホワイトニングの効果はこんな感じです✨
BEFORE

AFTER

どうでしょうか?
別の人の歯のように変わりますよね?!
こちらの患者様は3カ月、ホワイトニングに取り組んでくださいました!
そして方法としては「デュアルホワイトニング」という手法でホワイトニングしてくださいました!
デュアルホワイトニングとは
ホームホワイトニング
患者様がおうちでトレーとジェルを使ってホワイトニングする方法
と
オフィスホワイトニング
歯科医院で衛生士が施術する方法
この二種類を組み合わせたものです!
ホームホワイトニングはしっかり歯の色を抜くことができ、後戻りしにくいのが特徴ですが、
なかなかゆっくりとしか色が上がらないので
1回の施術で2~3段階色を上げることができるオフィスホワイトニングを組み合わせることで
後戻りが少なく、目的の色味まで最短距離で歯を白くすることができます👍
また当院のホワイトニングは☺
①食事制限なし! 後戻りしにくいようなシステムでサポート
②歯の色のチェックは無料! オフィスホワイトニングの度にお写真撮ります😆
③なりたい色を叶えるプランを提案! 専門スタッフが患者様の歯の色に合わせて最適なプランを提案します🦷
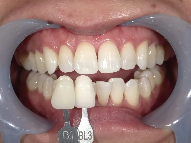
ちなみに色は見本を基準にしていきます👇

歯の色って200色あんねん…といいたくなります😎
左にある色はホワイトニングしないとなれない色なのでここまで色を明るく出来たら後戻りもあまり怖くありません!
どうでしょうか?
ホワイトニングに興味、でてきたんじゃないでしょうか😆
キャンペーン内容はこちらからご確認ください!
https://www.matsumura-dent.com/whitening/#a00
新規患者様にはもっとお得になるキャンペーンです✨
既存患者様も割引がありますので是非ご利用くださいね🤗
ご予約はこちら⇩
https://reservation.stransa.co.jp/e0c318346016acfa55a9358c06ef3a41
お電話はこちら😙
06-6147-4188


