みなさんこんにちは!
まつむら歯科 原です😉
梅雨になり、ジメジメーっとした空気が気持ちを重くさせますが、、、
最近ではマスクをつけずに外出している方も増えたように思います!
最近は早くユニバに行きたいなーと思っています(まだちょっと勇気がでません)
これからの夏、暑くなってくるとやっぱりマスクは蒸れて暑いし汗をかきますよね〜
やっぱりマスクを外したお口元以外と見られているんじゃないでしょうか!
コロナがまん延してから知り合った方の本当の素顔ってちょっと気になりませんか?
実は私はホワイトニング、かなりやっていまして。。。
元々はすごく歯が黄ばんでいました!
(コーヒー1日4-5杯に飲むので・・・)
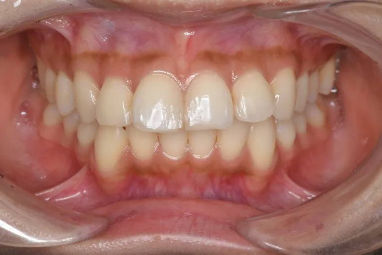
最初のお写真がこちら👇

どうでしょうか。
黄色!って思いましたか?
着色のつきやすさなどは生活習慣やその方の歯にもよるのですが、
何より私は汚れがつきやすい!黄ばみやすい!
必死にホワイトニングしていたのですが、
なんせしみる!!!!痛い!
他のスタッフはあんまりしみないのに、なんで私だけ!?!?
歯ブラシのしすぎや歯ぐきの下がり、食いしばりなどによる歯の表面の亀裂が原因でしみやすくはなってしまうのですが、、、、
あの独特な痛み(※個人差があります)はなかなか辛いです!
美しくなるためには痛みを乗り越えなければならない!!🙄
そしてがんばった結果一回目がこちら
だらだらと半年ほどホームホワイトニングをしてみたら。。。

どうでしょう?まあまあキレイになったのでは。。。!
これで口元にある程度自身が持てるようになり、
今度はマウスピース矯正を始める事になりました✨
そして、マウスピース矯正中は少しホワイトニングをさぼっており、
また友人の結婚式があったので、再ホワイトニングを決意!
マウスピースの矯正では矯正のマウスピースを使いながらホワイトニングができます!
それがこちら!
うーん、ちょっとは前より白いかな?って感じですよね!!

そして矯正が終わり、目標の色までいけないまま、ホワイトニング中断。
ホワイトニングではある程度まで色を抜ききってしまえば、「後戻り」がある一定までくらいまでしかありません。
後戻りとは、私がここまでホワイトニングをさぼると色が戻るように、
ホワイトニングをやめると、日ごろの飲食物の色がまた歯に浸透し、歯の色が戻っていくことを言います。
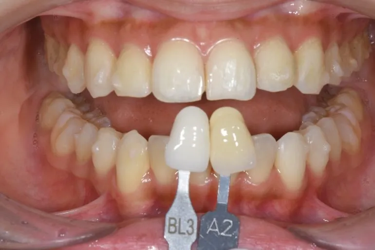
この上の画像のBL3というシェード(私の目標値)まで行ってしまえば、後戻りも怖くないのですが😣
当院では患者さんのなりたいにあわせて、施術内容やコースのご提案を変えています!が、
もうホワイトニングを一生ものに近いものにするのであれば、
BLシェードと呼ばれるところまで歯を白くする必要があります🔥
そして矯正後の今の歯の色です👇

ちょっともどってる~~~~~~!!!
というわけで今まで頑張ったホワイトニングが無駄にならないように、
今から再々ホワイトニングを決意しました!
今週から始めてどのくらい変わるのか、私の歯を使って、みなさんにお見せしたいと思います!
ちなみにメンテナンスもさぼっていたので、
今週中にクリーニングもしてもらって、さっそく始めたいと思います!
レジャーなど活動的になる夏に向けて、マスクもとる機会が多い今!
始めるなら今からがおすすめです😊
当院では丁寧なカウンセリングとアフターフォローをしています🦷✨
ホワイトニング、是非私と一緒にがんばりましょう💫
ホワイトニングも7月半ばからキャンペーンがスタートします!
薬液などの高騰により、料金の引き上げをこれから行っていく予定です!
値上げ前の今がチャンスです🌟
ご予約はこちら👇
https://apo-toolboxes.stransa.co.jp/user/web/e0c318346016acfa55a9358c06ef3a41/reservations


