皆様こんにちは😊🦷
まつむら歯科の原です🐱🍭
もうすぐGW~~!!🥳
皆様いかがお過ごしでしょうか🤭💛❓
私はついこの間お休みをいただき、宮古島まで行ってまいりました😘
南の島って。。。いいですね。。。🏝
しっかり疲れましたが心は充電されました💗
皆様も時には休息を大事にされてくださいね😊
さてさて今日の本題は。。。
お久しぶりにダイレクトボンディング!です!
最近当院はダイレクトボンディングしたい!とご来院いただくことが多くなりました😊
ダイレクトボンディングとは・・・?
比較的大きめの虫歯でも、型取りが必要な詰め物や被せ物をせず、
一回で直接樹脂を詰めて完成させる治療方法です✨
💛メリット💛
●治療が一回で終了
●自然な歯の色味でご自身の歯と差がわからない
●着色が付きにくく、虫歯にもなりにくい
●費用が自費の被せ物、詰め物より安価ですむ
●保険の樹脂より強度があるので保険だと被せになる歯も詰め物で終われる
●大きく削って被せ物や詰め物をしなくていい
前歯の隙間が気になってご来院いただくことが多いのですが…
歯科の中ではこのことを「正中離開」(せいちゅうりかい)と言います。
原因はお口の中のスペースが広いことや咬み合わせとされています。
歯並びは悪くないのに、歯の真ん中のスペースが気になる。。。
なんて方はオススメなのがダイレクトボンディングです😆
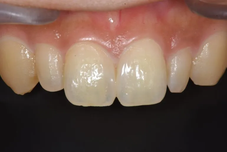
当院の患者さんの症例をご紹介させていただきます。
👇治療前👇

最初はこんな感じで前歯の隙間が空いていることを気にされていました。。。
👇治療後👇

写真の撮り方が少し違うのですが、どこを詰めているかわからないくらいキレイになりました🥰💕
これだけでもお口元の雰囲気が変わりますし、患者様の自信のある笑顔にも繋がります😁💫
削る量も比較的少なく、ご自身の歯としか思えない仕上がりになります😄
これだけしっかり間を詰めていても、フロスは通るようになっています🤗🦷
かくいう私も最近院長に前歯の治療をしてもらったので、またブログでご紹介させていただきますね🤭
当院ではダイレクトボンディングはもちろん、
矯正治療、インプラントなど無料でご相談も受け付けています🦷
WEB予約はこちら⬇️
https://apo-toolboxes.stransa.co.jp/user/web/e0c318346016acfa55a9358c06ef3a41/reservations
お電話、メールでのお問い合わせ、ご予約も承っています🥰
それでは皆様素敵なGWをお過ごしください🎏✨


