皆様こんにちは😆
まつむら歯科 原です🤗
最近炭酸飲料が美味しい季節になって来ましたね〜
皆さんは何がお好きですか?私はコーラが大好きです🥤
でもそんな炭酸は虫歯リスクの原因になってしまうんです😆
ご存じでしたか❓
理由は炭酸の入った飲み物は酸性であるということ、
そして、炭酸水など無糖のもの以外は糖が含まれていると言うことなんです😄💛
酸性のものは歯の表面を溶かしてしまうので、摂りすぎには注意しましょう!
日常的に飲んでいると酸蝕歯といって歯の表面が白く斑点のようになってしまいます。。。
もう一つは糖についてですが、こちらは虫歯菌の大好物になるので、
虫歯菌を増やす原因になります😑
私は好きなものをやめてくださいとは言いたくないので。。。
飲む頻度やタイミングを考えて美味しく飲んでいただくことを推奨しています!
虫歯のリスクの高い方はより注意してみてくださいね😖
さて本題のホワイトニングの症例についてです🦷✨
こちらは1ヶ月のコースでもかなり色味が白くなった方です💫
1ヶ月のコースはオフィスホワイトニング2回+ホームホワイトニングジェル6本がセットになったものです😉
単品で少しずつホワイトニングをするよりも短期間で白く、料金もお安くなるコースがおすすめです💫
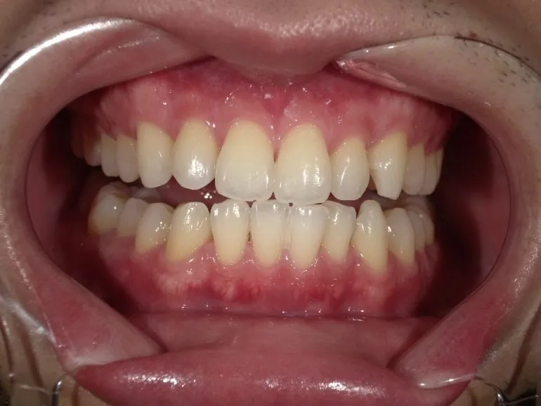
まずBEFOREから~

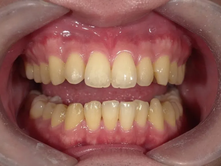
一回目のオフィスホワイトニング後はこちら👇

一回目だけでもかなり綺麗になってますね😎
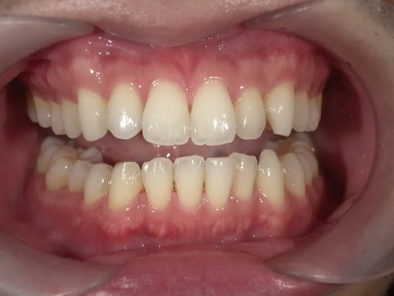
次は2回目オフィス施術後🤓👇

最初の写真と見比べてどうでしょうか?かなり白くなっていますね😉🤍
この患者さんはこの後もホームホワイトニングを追加で継続され…


最初と比べるとこんなにきれいになりました💓
ホワイトニングの効果で印象はガラッと変える事ができます🤗
歯の黄ばみが取れるだけで笑顔にも自信がつきます😆
私もまたホワイトニングしたくなってきました~~~🤯
当院のホワイトニングはしみにくく食事制限も少ないシステムとなっております🤍
気になった方は是非お問合せください😄


